Situation thérapeutique
Un patient consulte pour une prise en charge implantaire, il n’a pas de problème de santé particulier et une demande axée sur de la prothèse fixée, sans passage par une prothèse amovible temporaire si possible.
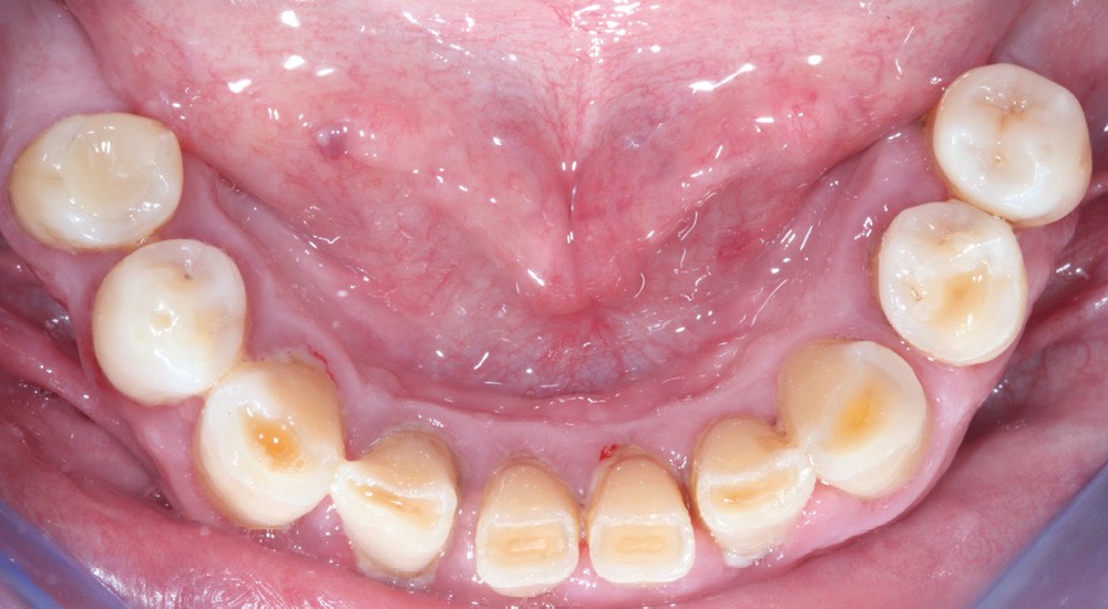
L’arcade antagoniste sera également à prendre en charge afin d’obtenir des calages molaires.
Première décision thérapeutique (janvier 2019) (fig. 1 à 3)
Après une étude prothétique [4, 5], il est décidé de procéder à l’extraction des dents maxillaires résiduelles (sauf une molaire qui servira pour enregistrer l’occlusion et qui sera avulsée dans un second temps), avec une implantation immédiate de 6 implants maxillaires et une mise en charge immédiate d’un bridge provisoire. Les implants se distribuent sur l’arcade ; des aménagements sous-sinusiens ne sont pas nécessaires (fig. 4 à 6).
Des implants mandibulaires postérieurs sont également programmés dans la même séance.
La réhabilitation bi-maxillaire est envisagée selon le concept de l’arcade courte, intéressant jusqu’aux premières molaires. La prise en charge a débuté par une motivation à l’hygiène, et une explication des techniques de prophylaxie, avec notamment la remise d’une brosse à dents électrique et des têtes de brosses adaptées et des brossettes interdentaires de tailles différentes (fig. 7).
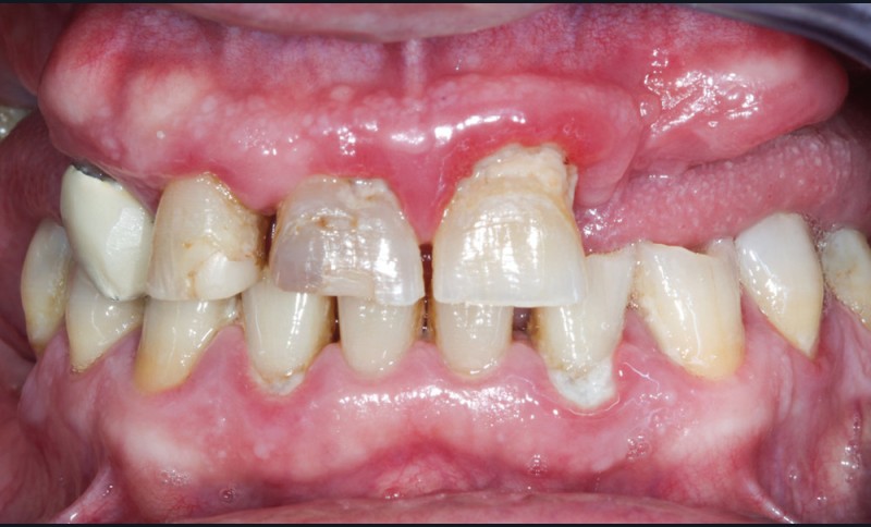
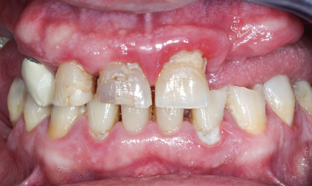
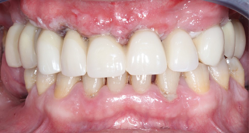
Réévaluation (mars 2022)
Le patient a été satisfait de l’immédiateté et du confort de la restauration provisoire, mais n’a malheureusement pas poursuivi son traitement et n’est venu consulter que quelques années plus tard, avec des répercussions prévisibles et néfastes. L’absence de calage molaire, l’hygiène déficiente (aucun passage de brossette dans les embrasures) et une absence de suivi au cabinet ont entraîné une inflammation très importante des tissus péri-implantaires (fig. 8…






