Gestion d’une lésion inter-radiculaire sur une molaire maxillaire

  • Par
  • Publié le . Paru dans Parodontologie Implantologie Orale, un nouveau regard n°1 - 15 mars 2022 (page 14-22)
Information dentaire

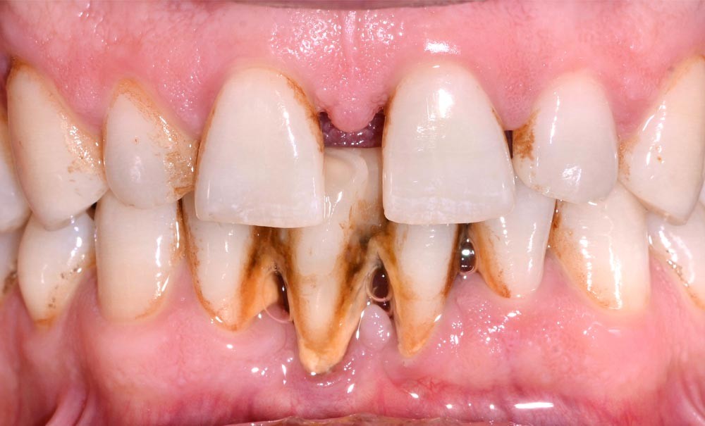
Un patient sans antécédents médicaux, avec un diagnostic de parodontite généralisée de Stade III et de grade C, présente des lésions inter-radiculaires multiples de classe II sur la 26, associées à un sondage profond. La dent est vitale et n’a aucune restauration. Après réalisation de la phase initiale du traitement parodontal, diverses stratégies thérapeutiques sont envisageables : la maintenance non chirurgicale, un assainissement chirurgical avec ou sans résection radiculaire, ou encore la tunnelisation. Le choix, dans ce cas clinique, s’est porté sur une résection radiculaire sur dent vitale. Préalablement à cette dernière, une pulpotomie camérale a été réalisée, suivie d’un coiffage de la pulpe radiculaire par un ciment à base de silicate de calcium. Cette approche thérapeutique a permis l’amélioration de l’accès à l’hygiène bucco-dentaire, l’obtention de conditions parodontales saines et une préservation de la vitalité de la pulpe radiculaire.

Dans cet article, nous décrirons la prise en charge d’une lésion inter-radiculaire sur une molaire maxillaire par résection radiculaire sur dent vitale. Cette approche vise à maintenir sur l’arcade dentaire des dents sévèrement compromises d’un point de vue parodontal, tout en évitant les coûts et complications associés aux traitements endodontiques.

La parodontite est une maladie inflammatoire d’origine microbienne, affectant le parodonte et considérée comme la principale cause de perte dentaire. Le diagnostic repose cliniquement sur la détection de la perte d’attache interdentaire et radiologiquement sur la détection de la perte osseuse, qui est l’un des paramètres importants permettant de qualifier la sévérité de la maladie [1].

Au niveau des dents pluri-radiculées, la destruction du système d’attache peut entraîner l’apparition de lésions inter-radiculaires (LIR). Leur degré d’atteinte est caractérisé en fonction de la destruction horizontale [2] et verticale [3]. L’analyse de ces paramètres est ainsi primordiale pour l’établissement du pronostic et du plan de traitement [4, 5]. En effet, il a été démontré que les dents présentant une lésion inter-radiculaire répondent moins favorablement au traitement parodontal non chirurgical et sont plus sujettes à la progression de la perte d’attache [6-10]. Ainsi, la présence et la sévérité d’une lésion inter-radiculaire ainsi que la mobilité dentaire, la position des dents, l’absence d’antagonisme occlusal et le support osseux restant sont des facteurs qui influencent significativement le choix du clinicien, que ce soit pour une décision d’avulsion [11], ou une approche conservatrice [12].

Diverses approches thérapeutiques ont été proposées afin de maintenir les dents présentant une LIR sur l’arcade dentaire avec des résultats variables [13]. Parmi elles, la résection radiculaire est une approche alternative pour le traitement de…

Cet article est réservé aux abonnés.
Pour lire la suite :

Vous êtes abonné.e ? Connectez-vous
Mot de passe
oublié ?

Vous pouvez également :

Acheter l'article En version numérique
Acheter le numéro À l'unité

Thèmes abordés

Sur le même sujet

Parodontologie

Article réservé à nos abonnés De la muco-esthétique à la muco qui sauve les dents

Le concept PASS au cœur de l’innovation parodontale La chirurgie plastique parodontale a connu une évolution notable, alliant avancées cliniques et technologiques...
Parodontologie

Article réservé à nos abonnés Séance SFPIO – Quelles sont les bonnes pratiques en parodontologie en 2024 ?

Responsable scientifique : Caroline Fouque Intervenants : Damien FEUILLET, Hélène RANGé, Nicolas BLANC-SYLVESTRE La parodontologie au croisement des disciplines Toutes sévérités confondues, les...