En implantologie, la réhabilitation d’un édentement antérieur maxillaire est un véritable défi pour les praticiens, en raison des attentes élevées des patients et des facteurs de risque qu’elle implique. Qu’il s’agisse d’un édentement unitaire [1] ou partiel, la réussite du traitement sera principalement basée sur deux critères : l’intégration fonctionnelle et l’intégration esthétique. La création d’un projet prothétique doit permettre de valider ces deux critères, en accord avec les attentes du patient. Au travers de cet article, nous nous proposons d’établir une démarche pour faciliter la prise de décision dans le cadre d’une réhabilitation implantoportée antérieure maxillaire. Nos propos seront appuyés par un cas clinique.
CONSULTATION INITIALE PRÉ-IMPLANTAIRE
Elle a pour objectif d’évaluer la situation initiale et les attentes, réalistes ou non, du patient. Elle doit évidemment mettre en avant l’éventuelle présence de contre-indications absolues à l’implantologie orale. S’inscrivant dans une thérapeutique globale, elle est orientée afin d’évaluer les paramètres gingivaux et dentaires susceptibles de compromettre le résultat esthétique et fonctionnel de la réhabilitation.
Examen clinique
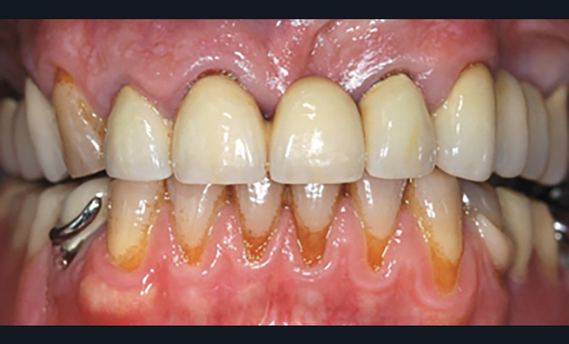
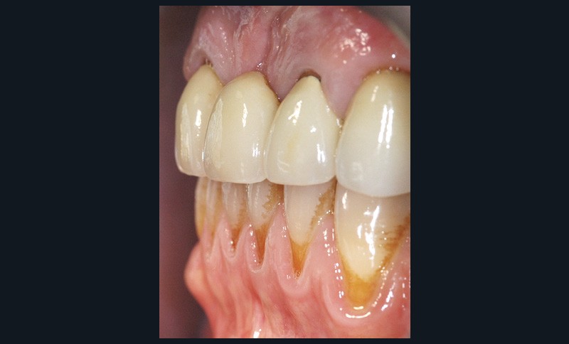
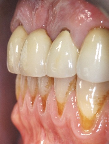
Il débute par l’évaluation des paramètres gingivaux (ligne du sourire [2], biotype parodontal [3], présence ou absence de papilles interdentaires, alignement des collets…). Les paramètres dentaires (origine de l’édentement, état de restauration des dents adjacentes, forme des couronnes dentaires…) compléteront cet examen (fig. 1). L’origine de l’édentement ne doit pas être sous-estimée. Graetz et al. [4] ont démontré que les patients avec des antécédents de maladie parodontale avaient une perte osseuse marginale et des profondeurs de poches plus importantes que les patients avec un parodonte sain.
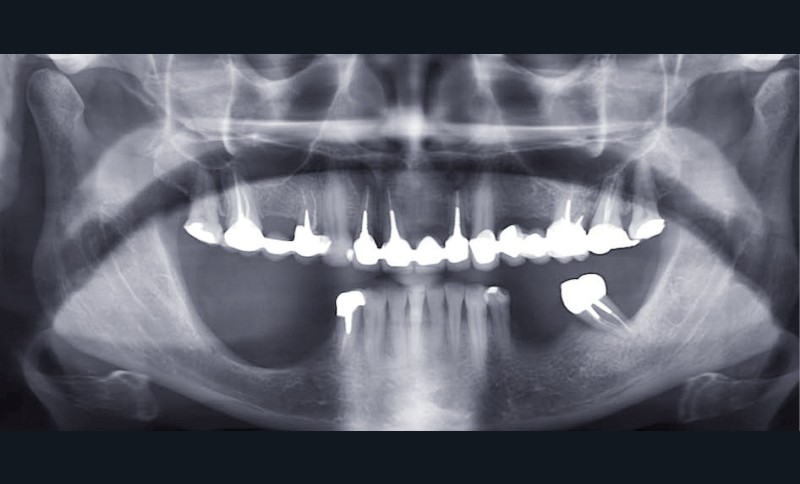
Examen radiographique
L’examen…




