Les béances dentaires sont des malocclusions difficiles à traiter. Les troubles fonctionnels sont souvent à l’origine du problème, et leur compréhension sera la clef du succès du protocole global. Ce cas clinique présente l’ensemble des techniques qui vont conduire au succès à long terme de ce type de prise en charge.
Historique du cas
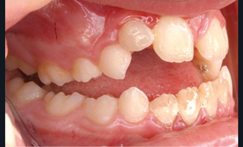
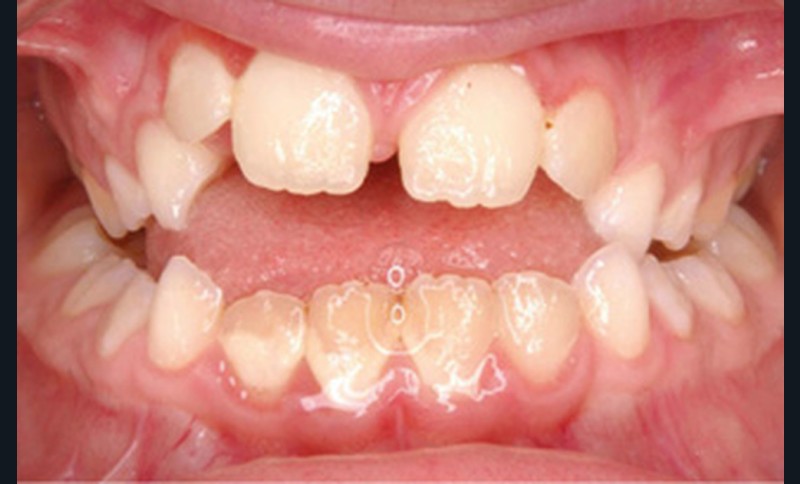
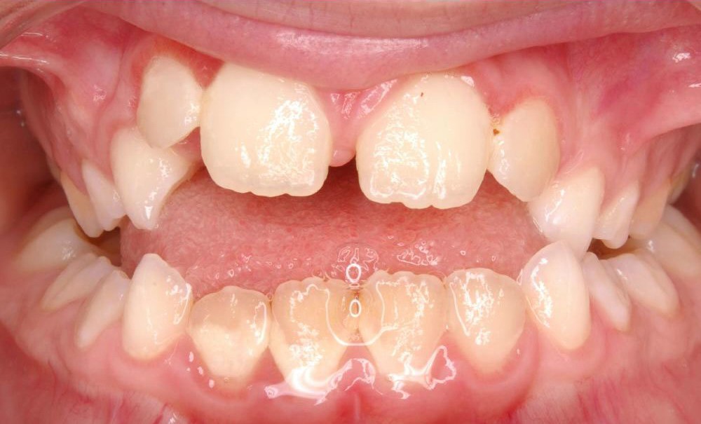
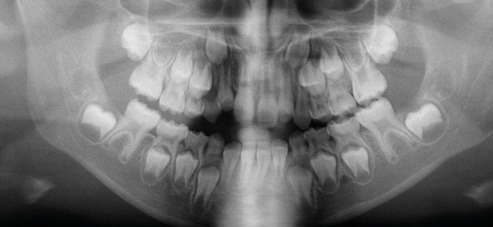
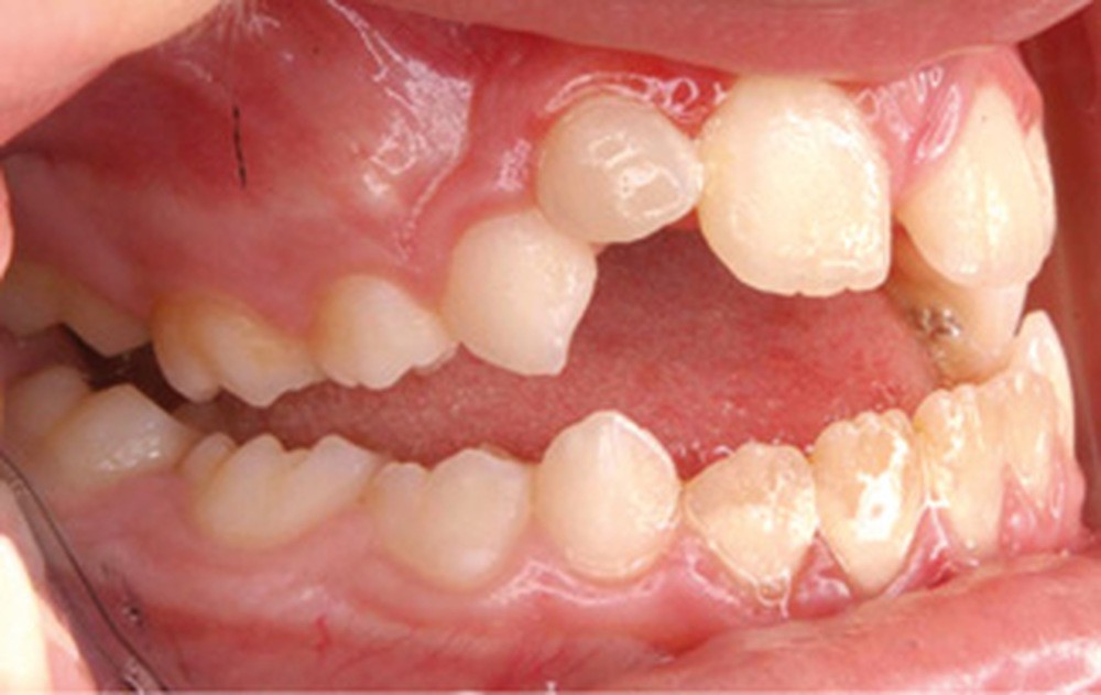
Cette patiente a été suivie dans le cadre d’un traitement interceptif alors qu’elle avait 9 ans. Elle présentait une endognathie maxillaire et une béance antérieure importante liées à des troubles fonctionnels évidents. En effet, l’examen clinique révélait une ventilation buccale exclusive, des ronflements nocturnes et une déglutition atypique. Nous avions noté à l’époque un manque de place pour l’évolution des dents définitives et un inversé d’articulé bilatéral. Les parents avaient rencontré un médecin ORL, mais avaient refusé une intervention visant à enlever les amygdales. Les deux canines maxillaires étaient incluses (fig. 1 à 6).
Le résultat de ce premier traitement a été assez spectaculaire, avec un problème transversal et une béance complètement corrigés. Les deux canines ont été mises en place sur l’arcade.
Examen initial
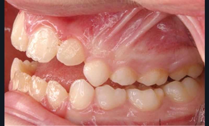
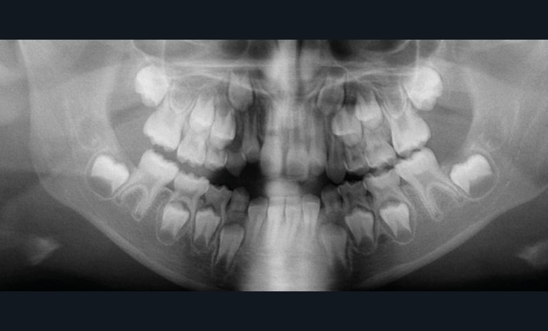
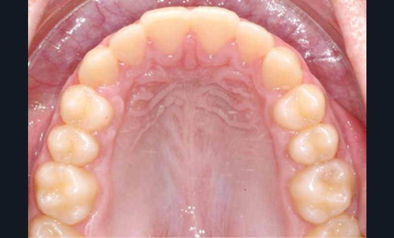
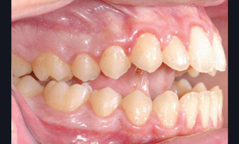
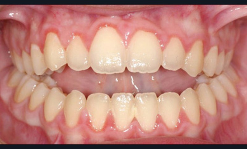
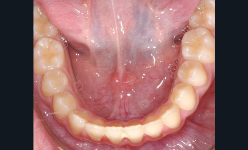
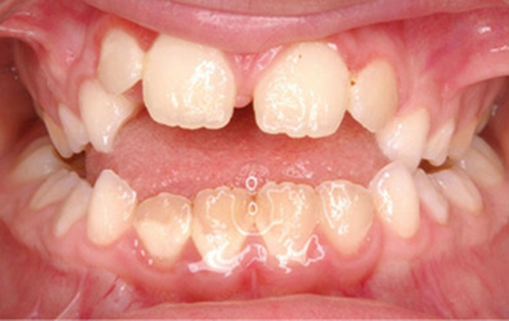
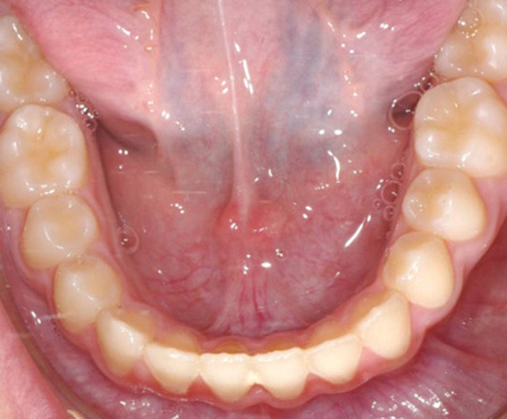
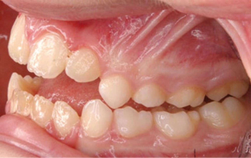
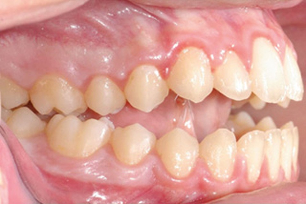
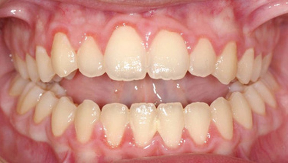
Quelques années plus tard, au moment de démarrer sa prise en charge orthodontique, la patiente présentait à nouveau une béance antérieure, un décalage des milieux incisifs de 2 mm et le problème transversal avait récidivé. Lors de l’examen clinique, elle présentait un inversé d’occlusion bilatéral postérieur et une ventilation buccale exclusive. À la suite du refus de réaliser l’amygdalectomie de façon précoce, elle ronflait toujours et sa déglutition ne s’était pas modifiée malgré des séances d’orthophonie (fig. 7 à 15).
Le premier travail…














