Diagnostic
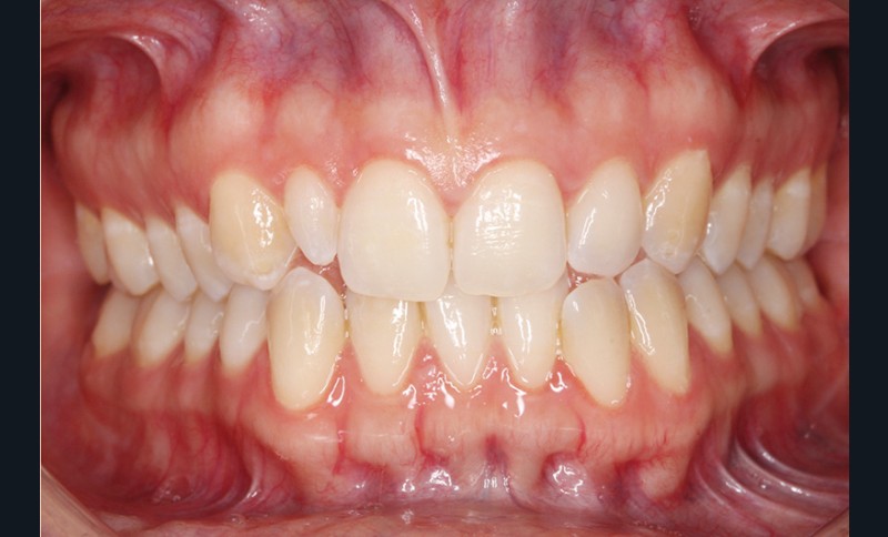
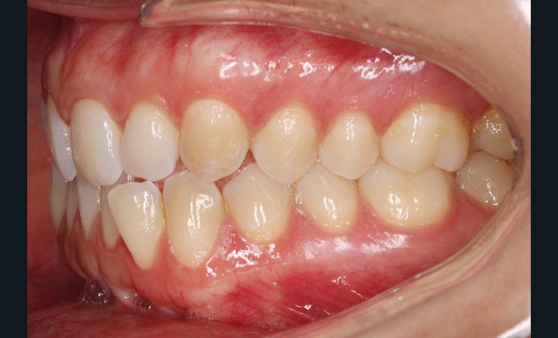
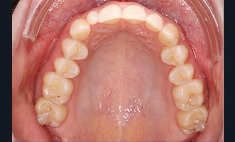
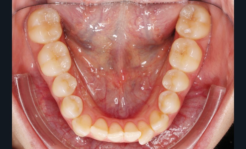
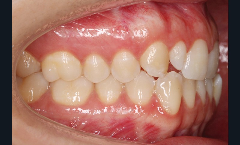
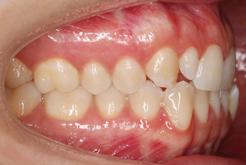
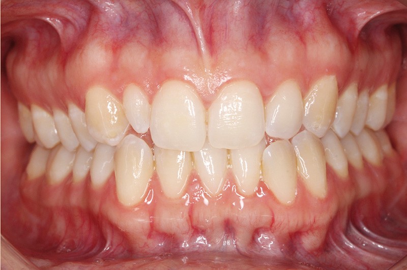
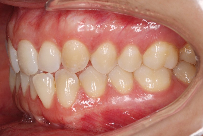
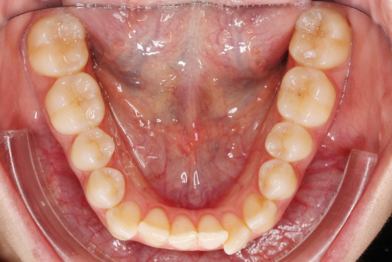
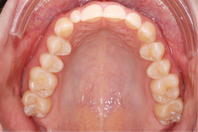
Elle présente une classe I dentaire en denture adulte. Son sourire est perturbé, notamment par la microdontie de son incisive latérale maxillaire droite (la 12). On constate un encombrement modéré au maxillaire (bimarginotopie mésio-palatine et disto-vestibulaire de 13) et plus marqué à la mandibule (monomarginotopie mésio-vestibulaire de 32 et de 43) (fig. 1-6).
Les milieux inter-incisifs ne sont pas coordonnés, à torts partagés, avec une légère déviation à droite du milieu inter-incisif maxillaire et une déviation plus marquée à gauche du milieu inter-incisif mandibulaire ainsi que du point menton. 32 et 33 présentent une tendance à l’exoclusion.
La radiographie panoramique révèle la présence de toutes les dents définitives, à l’exception des dents de sagesse, extraites (fig. 7).
L’examen de la téléradiographie de profil fait apparaître un schéma squelettique normodivergent de classe I (fig. 8).
Discussion et traitement
Le plan de traitement a pour but d’augmenter l’espace disponible pour la restauration coronaire de 12, afin de restaurer l’esthétique du sourire, d’aligner les dents, de coordonner les milieux inter-incisifs et de modifier les angulations des incisives et des prémolaires, sans modifier les rapports molaires de classe I.
À la mandibule, l’encombrement sera résolu par :
– la légère expansion réalisée aux deux arcades suite à la modification des torques latéraux et incisifs en particulier [2] ;
– le stripping incisivo-canin mandibulaire.
Pour ce traitement, un multi-attaches autoligaturant a été utilisé, à l’arcade maxillaire d’abord, puis aux deux…







