Gestion pragmatique de l’échec implantaire sans déroger à la solution implanto-portée

  • Par
  • Publié le . Paru dans L'Information Dentaire (page 34-39)
Information dentaire
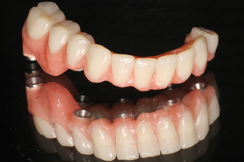
L’objectif de cet article est de montrer comment, malgré une péri-implantite agressive, il demeure possible de sauver la situation prothétique afin d’assurer la continuité d’un traitement implantaire dans un tissu osseux fortement atteint par l’inflammation.

La pénétration de l’implantologie dentaire dans le tissu professionnel a atteint une phase de maturation. Nombreuses sont les formations offertes dans la discipline, qu’elles soient universitaires ou privées. Par ailleurs, avec la diffusion de l’information via les réseaux sociaux, les patients sont au fait de l’existence de l’implantologie et réclament son application pour résoudre leurs difficultés prothétiques. Leur demande ainsi que l’offre des praticiens font que de nombreux implants placés par de nombreux confrères se trouvent dans des bouches qui toutes – et c’est bien sûr un euphémisme – n’accordent pas l’attention nécessaire au maintien d’une hygiène appropriée.
De ce fait, la péri-implantite guette et, d’après certains [3, 4], elle fait des ravages bien plus prononcés en termes de fréquence que d’autres [1] veulent bien le reconnaître. Lorsqu’elle est étendue et avancée, la dépose des implants concernés s’impose, car le soutien des tissus durs a disparu. Se pose alors la question des conséquences prothétiques, souvent perçues comme dramatiques pour le patient habitué à un artifice prothétique fixe.
Le cas clinique exposé a pour but de montrer comment, malgré une péri-implantite agressive, il est possible de sauver la situation prothétique pour assurer la continuité d’un traitement implantaire dans un tissu osseux fortement atteint par l’inflammation.

Cas clinique
Présentation
Un patient âgé de 63 ans consulte à la suite de douleurs et d’abcès récurrents dans les secteurs postérieurs mandibulaires. À chaque poussée infectieuse, il est allé consulter. Cependant, aucune suite n’a été donnée à ces consultations, car les praticiens proposaient une dépose des prothèses postérieures assortie d’une solution prothétique amovible. Le patient refuse de se soumettre à cette solution qu’il juge extrême.

L’examen clinique montre que les tissus mous sont purulents dans les secteurs…

Cet article est réservé aux abonnés.
Pour lire la suite :

Vous êtes abonné.e ? Connectez-vous
Mot de passe
oublié ?

Vous pouvez également :

Acheter l'article En version numérique

Thèmes abordés