Cet article présente la prise en charge d’une jeune patiente ayant un antécédent de sarcome d’Ewing traité par chimiothérapie, chirurgie et radiothérapie.
Situation initiale
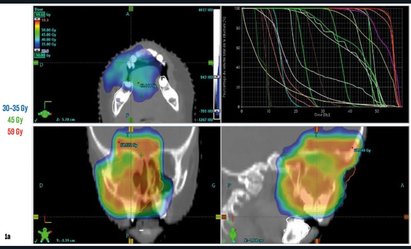
Une jeune patiente âgée de 15 ans, accompagnée de ses parents, est adressée au Centre de Compétences des Maladies Rares Orales et Dentaires (O-Rares) des Hospices Civils de Lyon pour une réhabilitation bucco-dentaire globale. Elle présente un antécédent de sarcome d’Ewing au niveau du sinus maxillaire droit diagnostiqué à l’âge de 3 ans et demi. Ce dernier a été traité par chimiothérapie préchirurgicale, chirurgie d’exérèse, chimiothérapie post-chirurgicale et radiothérapie (dose inférieure à 60 Gy au niveau du site tumoral [fig. 1a et b]). Plus récemment, la patiente a également dû être hospitalisée pour une épistaxis massive à la suite d’une nasofibroscopie ayant nécessité une cautérisation de l’artère sphéno-palatine droite. Sur le plan général, elle présente également un traitement hormonal pour un retard de croissance.
Prise en charge
Première étape : analyse et propositions thérapeutiques
Première consultation
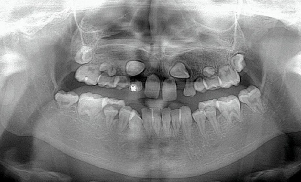
La première consultation permet de réaliser l’anamnèse médicale et dentaire, des photographies exo et endo-buccales, une radiographie panoramique, ainsi que des empreintes numériques.
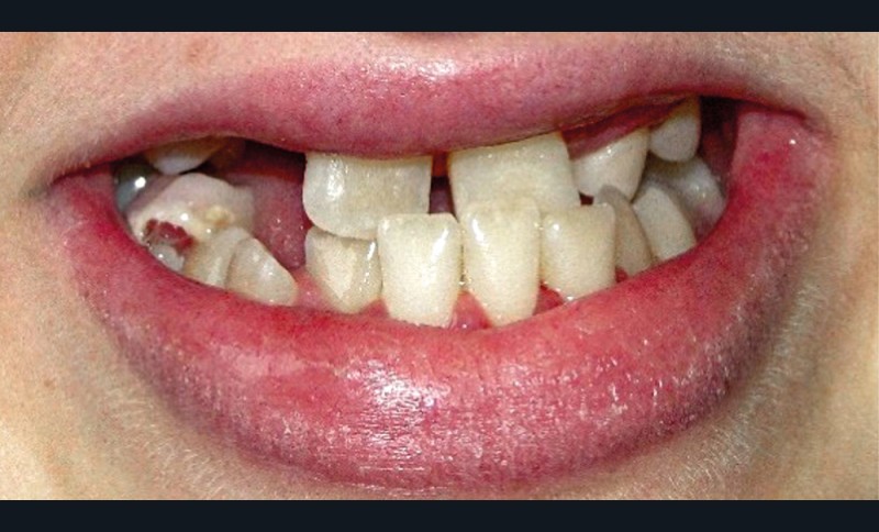
Au niveau exo-buccal, une classe III squelettique par brachymaxillie séquellaire est observée. L’hypodéveloppement de l’étage moyen de la face est l’une des conséquences de la radiothérapie reçue par la patiente dans sa jeunesse (fig. 2a à d) [4].
Au niveau endo-buccal, une mobilité des dents maxillaires, en particulier des incisives centrales (11 et 21), est remarquée. Elle peut s’expliquer par les séquelles dentaires du traitement par radio-chimiothérapie, bien visibles sur la radiographie panoramique (fig. 3). Au maxillaire…





