3e lauréat - Concours praticiens
Examen clinique
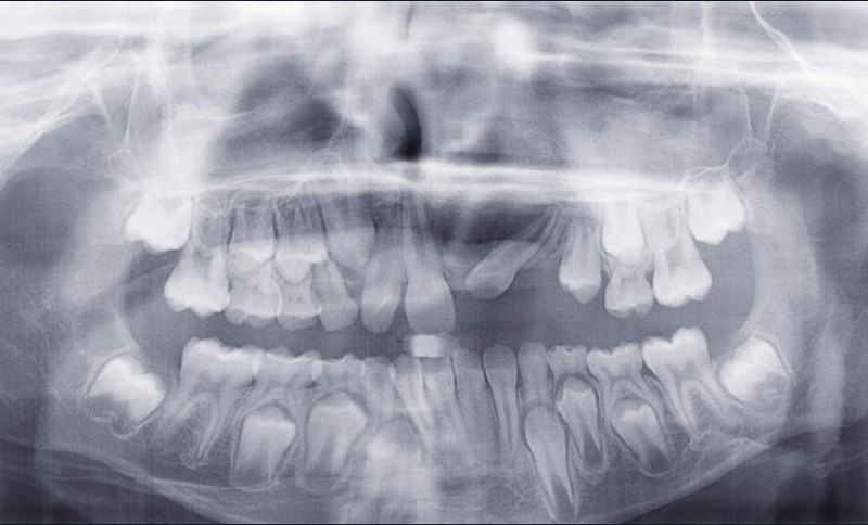
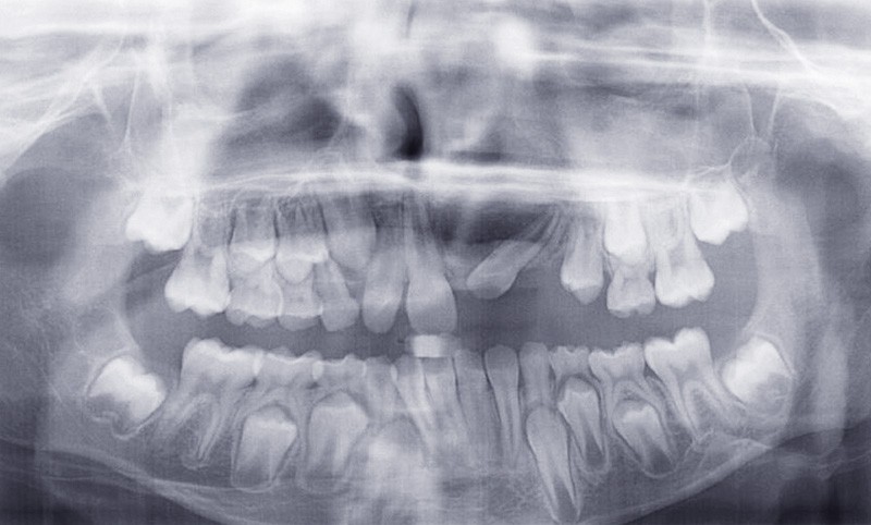
Le jeune Yoan 9 ans est adressé par son chirurgien maxillofacial, suite à l’exérèse d’un kyste bénin du maxillaire, et l’avulsion de 21 et 23 (fig. 1). L’apex de 22 a été soufflé par le kyste. La céphalométrie (fig. 2a et b) et l’examen clinique mettent en évidence une classe II squelettique par rétromandibulie, ainsi qu’une classe II dentaire. Le patient, est particulièrement perturbé par l’intervention qu’il vient de subir, et la coopération s’annonce difficile.
Discussion
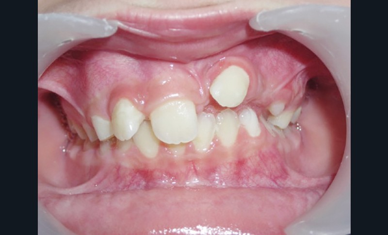
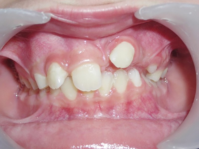
La gestion esthétique immédiate passe par un traitement orthodontique précoce, car la position de 22 (fig. 3) empêche toute restauration provisoire de l’édentement. Au vu du contexte, le choix thérapeutique se portera sur la simplicité, la rapidité, l’esthétique puis la réévaluation sur le long terme.
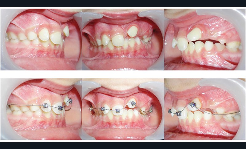
La 22 doit être remise sur l’arcade et le choix est fait de la mettre en lieu de 21 (fig. 4), puis de la maquiller pour temporiser en attendant l’évolution des autres dents définitives, et éviter le port d’une prothèse amovible transitoire (P.A.T.) tout en ramenant de l’os alvéolaire dans l’espace de 21.
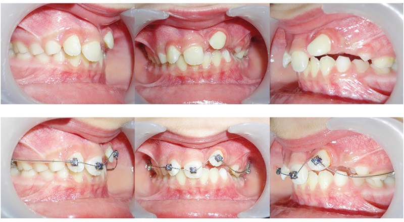
L’interception dure 6 mois, et les attaches antérieures sont laissées en place et ligaturées (fig. 5) pour permettre une contention légère. On note la perte de la médiane.
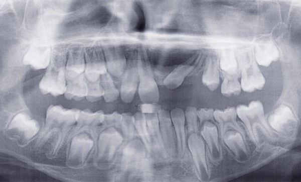
L’absence de deux dents dans un secteur pourrait se réduire à une dent, si l’on entreprenait un traitement par extraction, avec une classe II thérapeutique par exemple. De même, l’extraction de deux prémolaires en mandibulaire pourrait aussi permettre de traiter orthopédiquement la classe II squelettique, mais rallongerait significativement le traitement et nous donnerait des incertitudes supplémentaires (quantité de croissance…





