Après un traumatisme, la réhabilitation de l’édentement unitaire dans le secteur antérieur peut devenir un véritable défi, esthétique et fonctionnel, chez un jeune patient ne présentant initialement aucune altération dentaire. Si dans ce cas particulier, la solution implantaire est aujourd’hui unanimement préconisée, le succès clinique de la réhabilitation prothétique nécessitera souvent des interventions chirurgicales de reconstruction tissulaire, parfois délicates. La prothèse fixée conventionnelle peut rester un compromis, d’autant mieux accepté par les patients qui ne souhaitent pas, comme dans les cas présentés ci-après, subir d’interventions chirurgicales.
Évaluation des facteurs de risque esthétique
Avant toute réhabilitation prothétique des secteurs antérieurs, il est essentiel d’évaluer les facteurs de risque esthétique qui sont clairement définis dans la littérature (9) (tableau 1).
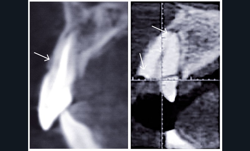
Evalués lors de l’examen clinique, ils orienteront le choix de la thérapeutique la plus appropriée à la situation clinique rencontrée. Les travaux de Braut et coll. (3) révèlent ainsi l’importance de l’épaisseur de la paroi alvéolaire vestibulaire en regard de l’édentement dans le choix thérapeutique. Il est judicieux de s’assurer rapidement de sa présence et de mesurer son épaisseur par un examen radiographique de type cone-beam (fig. 1). Trop fine, moins de 1 mm d’épaisseur, elle demandera un comblement osseux préalable, ou conjointement, à la mise en place d’un implant (4).
Il peut être également intéressant d’évaluer a posteriori la qualité de la réhabilitation prothétique. Parmi d’autres procédés d’évaluation (5, 6, 7, 8, 9), la méthode Pink Esthetic Score/White Esthetic Score (PES/WES), proposée par U. Belser et coll. (2), évalue à la fois l’intégration de la prothèse supra-implantaire…

