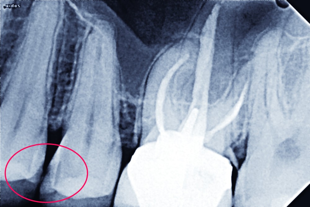
La gestion thérapeutique des lésions carieuses proximales postérieures se heurte à plusieurs complexités tant diagnostiques que techniques. La multiplicité des matériaux commercialisés et la difficulté d’évaluer aussi l’activité carieuse résiduelle compliquent le choix du substitut dentinaire à utiliser, spécialement lors de lésions actives. La transition entre une restauration a minima de type 1, sans aucune préparation ou de type 2, avec préparation tissulaire demeure ténue. Les bases des traitements proposés dans ce report de cas dérivent du concept LIFEDT ou light induced fluorescence for diagnosis and treatment. Cet exposé se propose de traiter deux lésions carieuses proximales (Site 2) contiguës, l’une de stade 3 et l’autre de stade 1.
Gestion thérapeutique de lésions carieuses proximales sur dents adjacentes
- Par
- Publié le . Paru dans Réalités Cliniques n°3 - 15 septembre 2013 (page 175-181)
Cet article est réservé aux abonnés.
Pour lire la suite :
Vous êtes abonné.e ?
Connectez-vous
Pas encore abonné.e ?
Abonnez-vous
Abonnez-vous pour recevoir la revue et bénéficier des services en ligne et des avantages abonnés.
Vous pouvez également :
Acheter l'article
En version numérique
Acheter le numéro
À l'unité