Anamnèse/Histoire de la maladie
Une patiente de 34 ans est adressée en consultation parodontale en février 2023 dans l’Unité de Chirurgie et de Médecine Orale de l’Hôpital Édouard Herriot (Hospices Civils de Lyon) à la suite de l’échec de traitements parodontaux non chirurgicaux répétés et à la perte d’implants dentaires non ostéointégrés en 12 et 22.
Cette patiente, non fumeuse, a présenté en 2007 un cancer de la thyroïde traité par radiothérapie puis thyroïdectomie. Son seul traitement actuel est du Levothyrox et son récent bilan biologique ne révèle aucune anomalie de la NFS, de la biochimie sanguine (HbA1c, glycémie à jeun…) et des hormonons thyroïdiennes.
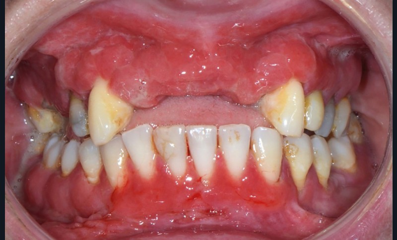
La patiente décrit un niveau de stress professionnel élevé et, au niveau buccal, une inflammation des gencives associée à des douleurs (jusqu’à 5/10), des gingivorragies spontanées et la perte progressive des dents depuis 2016. Sa demande est fonctionnelle et esthétique avec le remplacement des dents manquantes et la résolution de ses problèmes de gencive.
Examens clinique et radiographique
Au niveau dentaire, l’édentement maxillaire est compensé par une prothèse amovible provisoire en résine et crochets façonnés.
Au niveau muqueux, une large plage érythémateuse s’étend à la mandibule et au maxillaire, sur toute la hauteur de gencive attachée et marginale des secteurs dentés ainsi que sur les crêtes édentées et la fibromuqueuse palatine, à l’exception du raphé médian. La gencive est œdématiée, « bourgeonnante », et saigne au moindre contact.
Le contrôle de plaque de la patiente est perfectible, sans présence de tartre, avec un brossage biquotidien (brosse souple) et l’utilisation de brossettes tous les soirs malgré la symptomatologie ressentie. Elle présente des poches parodontales allant jusqu’à 6 mm ainsi que des mobilités dentaires de classe 1 à 3 de Lindhe. L’examen radiographique révèle…
