1. Quel est le diagnostic le plus probable ?
a. Gingivite
b. Lichen plan buccal (LPB), associé à un lichen plan cutané
c. Pemphigoïde cicatricielle (PC)
d. Pemphigus vulgaire
e. Candidose buccale
2. Quel(s) examen(s) complémentaire(s) indiquez-vous ?
A. Bilan sanguin
b. Orthopantomogramme (OPT)
c. Biopsie pour examen anatomopathologique
d. Biopsie pour immunofluorescence directe (IFD)
e. Aucun
3. Quelle est la conduite à tenir ?
a. Abstention thérapeutique
b. Thérapeutique parodontale
c. Antibiothérapie
d. Corticothérapie systémique
e. Corticothérapie topique

Réponses 1 : b ; 2 : a, b, c, d ; 3 : b, e
Question 1
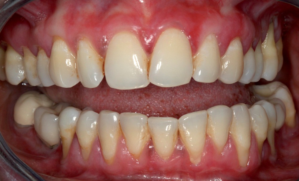
Les lésions décrites sont en faveur d’un lichen plan buccal (LPB) associé à un lichen plan cutané. Le lichen plan est une maladie inflammatoire chronique des épithéliums malpighiens qui peut atteindre la peau, les muqueuses génitale et buccale et/ou les phanères [1]. L’atteinte gingivale isolée est rare (7,4 % des LPB) [1]. L’érythème et la douleur orientent vers un lichen plan buccal érythémateux. Les aspects anatomopathologiques (réticulaire, papulaire, en plaque, atrophique, érosif et bulleux) et cliniques (érythémateux, nigricans, atrophique et hypertrophique) très polymorphes des LPB amènent souvent à un retard diagnostic [1, 2]. Dans le cas décrit, le caractère érythémateux du LPB a conduit à le confondre avec une gingivite.
La gingivite est une inflammation de la gencive due à la plaque dentaire. Les symptômes auraient dû disparaître après la thérapeutique parodontale initiale.
La pemphigoïde cicatricielle (PC) est une maladie bulleuse auto-immune caractérisée en bouche par une gingivite érosive associée au non à des bulles ou des érosions palatines. Le signe de la pince (décollement passif d’une pseudomembrane lors du soulèvement…