CAS 1
Motif de la consultation
Patient de 61 ans venu consulter pour une tumeur labiale supérieure gauche.
Histoire de la maladie
• La lésion était présente depuis 3 à 5 ans, mais le patient n’était jamais venu consulter, bien que son dentiste traitant lui ait conseillé à de multiples reprises de le faire.
Interrogatoire
• Le patient ne présentait pas d’antécédents médico-chirurgicaux particuliers, hormis un état dépressif ancien bien contrôlé par le traitement.
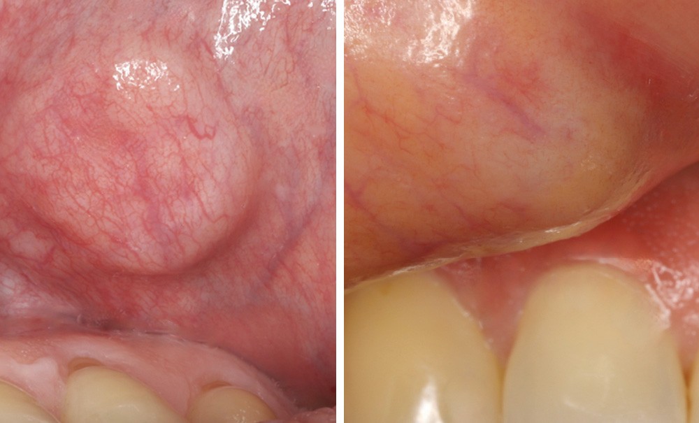
Examen clinique
• La tumeur siégeait dans la région para-médiane gauche de la lèvre supérieure et elle était assez proche du vestibule. Elle avait des limites nettes et se présentait sous la forme d’une pastille arrondie et plane, de 3 mm d’épaisseur, recouverte par une muqueuse d’aspect normal qui n’adhérait à la tumeur. Cette tumeur avait une consistance très ferme et n’était pas fixée sur les plans profonds.
Examen paraclinique
• L’examen histopathologique a montré que, sous un épithélium malpighien kératinisé aux crêtes un peu irrégulières, il existait une tumeur salivaire assez bien limitée, mais non encapsulée, avec sur une zone un aspect d’infiltration. La tumeur s’étendait à la surface du plan musculaire comme en témoignait la présence de fibres musculaires striées. Elle était constituée de petits tubules formés par une mono- ou une double couche cellulaire, de structures cribriformes contenant une substance basophile, de petites travées ou cordons et, plus rarement, de cellules individuelles disposées en file indienne. Les cellules présentaient un noyau ovale souvent vésiculeux avec très peu de cytoplasme. Le stroma fibreux, par places hyalinisé, comportait quelques lymphocytes clairsemés.
L’étude immunohistochimique a confirmé la nature biphasique de la prolifération tumorale d’architecture essentiellement tubulaire et cribriforme (moins de 20 %), constituée de cellules…
