CAS 1
Motif de la consultation
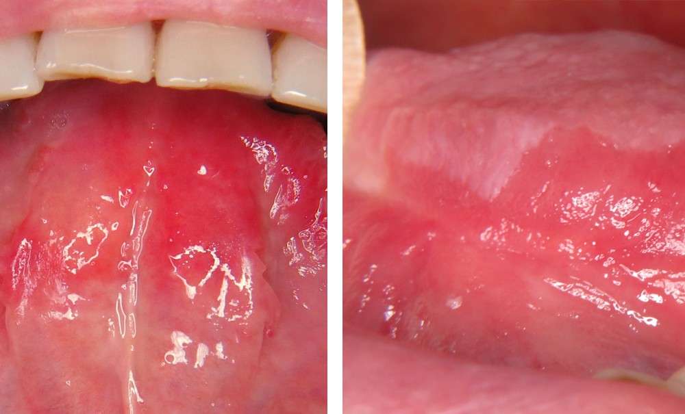
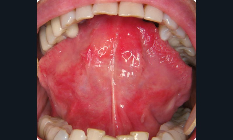
Glossite évoluant depuis un an.
Histoire de la maladie
- Patiente de 6O ans présentant des antécédents de thyroïdectomie, érythème noueux, prothèses mammaires bilatérales qui consulte pour une stomatite dominée par une glossite douloureuse présente depuis un an.
Interrogatoire
- La patiente décrivait des douleurs spontanées, majorées par l’alimentation au niveau de la langue depuis un an. Elle avait consulté son médecin généraliste qui lui avait prescrit un traitement antifongique sans effet
Examen clinique
- L’examen endo-buccal révélait des plages érythémateuses de la face ventrale de la langue avec quelques ulcérations aphtoïdes millimétriques.
Examens paracliniques
- Un bilan biologique a été prescrit. Il a révélé une macrocytose (VGM 124fL), un taux d’hémoglobine de 11g/L, un taux de vitamine B12, de folates et de fer normal.
Une biopsie a été réalisée. Elle a mis en évidence un épithélium malpighien atrophique avec de nombreuses ectasies vasculaires dans le chorion.
Synthèse
- Les lésions linguales évoquaient une carence. Les dosages de la vitamine B12 ne sont pas très fiables. Le bilan a été complété par un dosage de l’homocystéine (taux augmenté en cas de déficit en vitamine B12), des anticorps anti-facteur intrinséque et une fibroscopie gastro-oesophagienne. Le bilan a révélé une augmentation à quatre fois la normale de l’homocystéine, un taux augmenté des anticorps anti-facteur intrinséque à huit fois la normale et une gastrite antro-fundique atrophiante. Le bilan paraclinique complémentaire a permis de conclure à une glossite secondaire à une anémie de Biermer. Devant un tableau clinique typique (plages érythémateuses et ulcérations milliaires) et paraclinique évocateur (anémie macrocytaire) sans déficit en vitamine B12, il ne faut pas hésiter à compléter le bilan. Dans 25 à 30% des cas, le…
