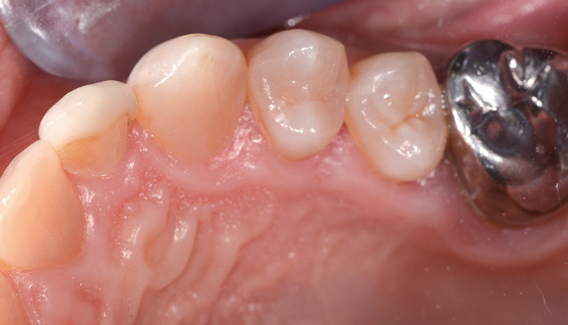
Le matériel

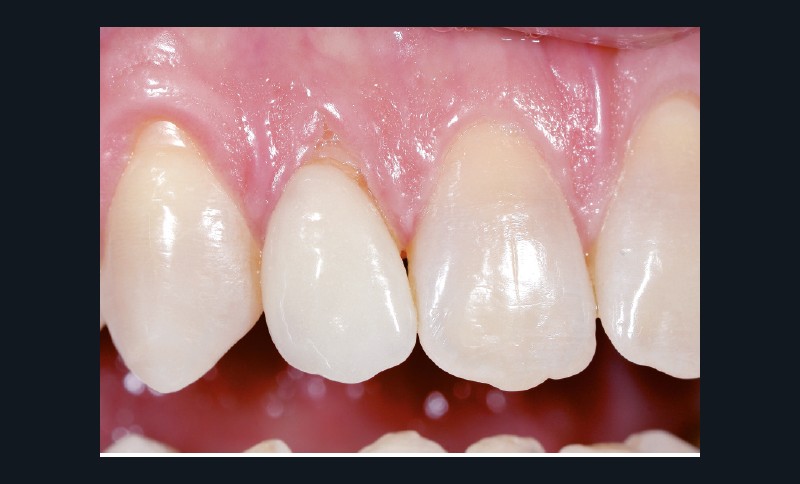
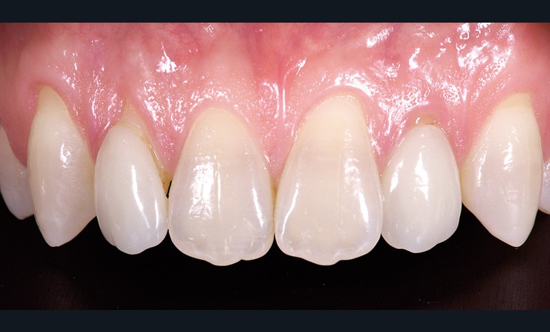
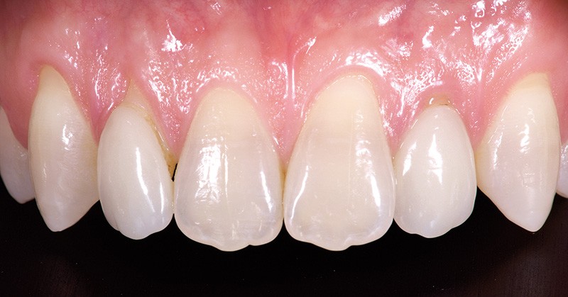
bibli/1.0.jpgLes récessions principales concernent le secteur 1 antérieur, parodonte fin et plat.
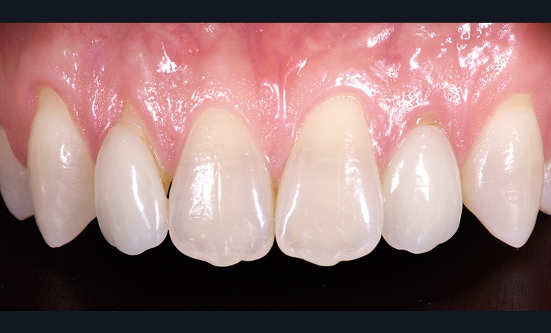
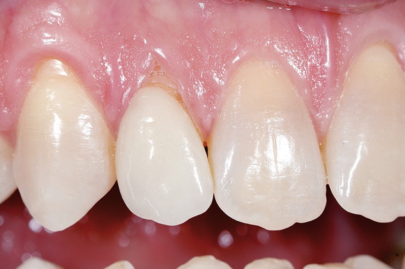
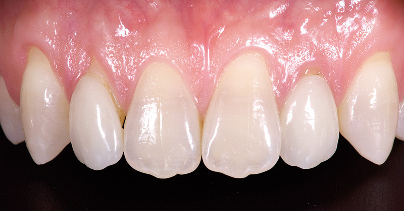
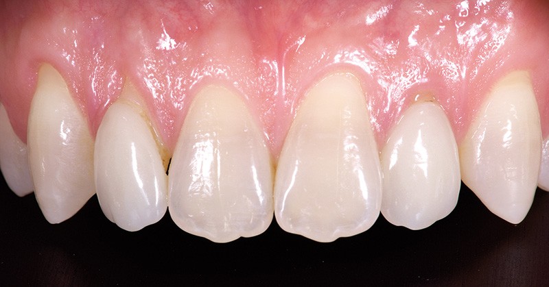
bibli/1.21.jpgLa vue occlusale ne montre pas de surcontour de la pièce prothétique ; il n’y a pas lieu de reprendre le travail de céramique.
bibli/1.31.jpgAprès les anesthésies, le site est cureté manuellement.
bibli/1.2.11.jpgUne brosse et une ponce sont appliquées afin d’éliminer tous les résidus extrinsèques.
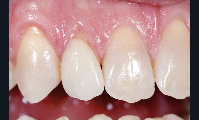
bibli/1.2.jpgLa plaque palatine est validée en bouche. Nous verrons qu'avec le type de prélèvement pratiqué, elle est optionnelle.
bibli/1.2.3.jpgLes points de contact sont solidarisés.
bibli/1.3.jpgÀ gauche, vue palatine en fin de chirurgie.
bibli/4.11.jpg_;_;_bibli/4.21.jpgLes points de contacts unis vont permettre se soutenir les sutures qui en feront le tour pour tracter le greffon coronairement.
bibli/1.3.31.jpgMicrolame angulée, pas d'incision croisée de la papille.
bibli/2.1.11.jpgEtendre les incisions largement au-delà du site receveur ; ici avec le décolleur de papille de Molt (Fabher médical).
bibli/2.1.21.jpgCommencer à décoller en demi-épaisseur avec les lames puis les décolleurs.
bibli/2.1.jpgLa lame pénètre de part et d’autre des papilles.
bibli/2.2.11.jpgOn reliera d’abord une première papille, puis une seconde.
bibli/2.2.21.jpgLe décollement doit être très large et aboutir à une laxité maximale.
bibli/2.2.31.jpgSection horizontale guidée par la sonde parodontale.
bibli/2.3.11.jpgLaisser une bande horizontale de ½ mm de conjonctif avant de plonger pour chercher le greffon en deux incisions.
bibli/2.3.21.jpgPrélèvement du conjonctif le plus fin possible.
bibli/2.3.jpgAu collet de 12, l’aiguille est passée dans le tunnel distal par son arrière.
bibli/3.1.11.jpgUn second fil est passé dans le greffon à son autre extrémité.
bibli/3.1.21.jpgLe second fil est passé dans le tunnel mésial.
bibli/3.1.31.jpgBien vérifier le sens et la parfaite mise à plat du greffon.
bibli/3.2.11.jpgPousser le greffon tout en tractant avec les fils.
bibli/3.2.21.jpgLe greffon est en place, les fils permettent de contrôler sa position dans le sens horizontal.
bibli/3.2.31.jpgDe l’extérieur à l’intérieur, passer dans le greffon et dans la papille pour émerger en palatin.
bibli/3.3.11.jpgRevenir sous le point de contact, en faire le tour pour repasser dessous et suturer au petit chef.
bibli/3.3.21.jpgAvec ces deux sutures suspendues, le greffon est plaqué et tracté vers le collet. Les sutures résorbables distales et mésiales peuvent servir à stabiliser horizontalement.
Matériel de chirurgie plastique parodontale dont : lame 15C et lame MJK 3 plate, décolleur rond pour tunnélisation Zepf® (Kerr), sutures 5.0 Monosof® (Covidien), 4.0 Vicryl® (Ethicon) et 3.0 soie® (Ethicon), sérum physiologique et bétadine.
1 Préparation du site receveur![]()
2 Lit receveur et prélèvement![]()
Évaluation préopératoire de la muqueuse palatine, choix des zones de prélèvement.
3 Sutures et finalisation![]()
Mise en place du greffon conjonctif
1 Préparation du site![]()
Le patient est informé, il comprend le bénéfice et soutien le traitement
Analyse et documentation du cas

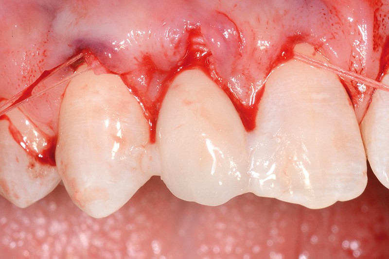
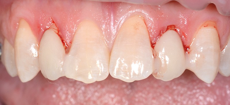
bibli/rea.jpgSituation en fin d’intervention Deux greffons conjonctifs ont été enfouis par tunnelisation et plaqués par des haubans tractés sur les points de contact.
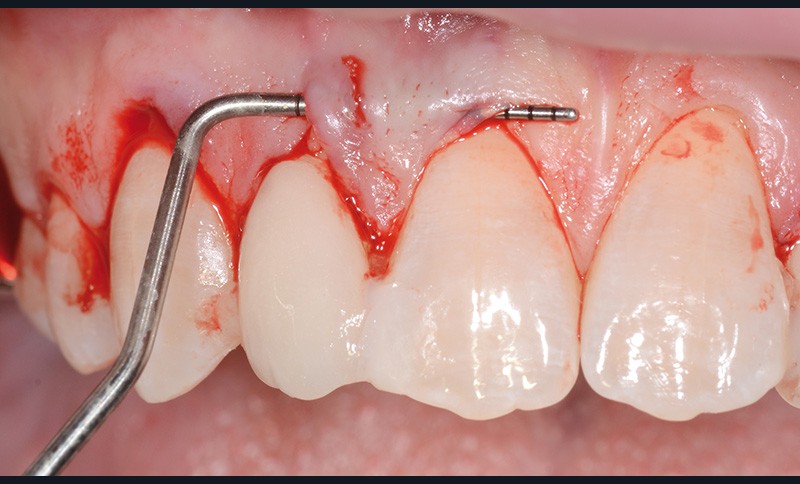
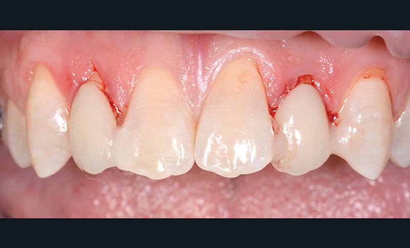
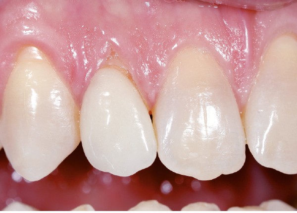
bibli/situ.jpgDétail des récessions du côté droit : 2 mm sur la canine et 3 mm sur la latérale avec une fissure de Stillman.
bibli/1.11.jpgNettoyage, surfaçage et polissage parfait des surfaces dures.
bibli/1.2.jpgSolidarisation des points de contact avec du composite fluide pour soutenir les haubans.
bibli/1.3.jpgIncisions sulculaires dans le site receveur à la microlame sans sectionner les papilles.
bibli/2.12.jpgTunnélisation du parodonte superficiel, le tissu doit être lâche, laxe et non déchiré.
bibli/2.2.jpgPrélèvement des greffons conjonctifs.
bibli/2.3.jpgDeux fils sont préalablement montés sur le greffon dans son sens horizontal.
bibli/3.1.jpgLes aiguilles passent les tunnels et le greffon est plaqué horizontalement.
bibli/3.2.jpgLes sutures suspendues vont plaquer le greffon verticalement et le tracter vers la ligne du collet.
bibli/3.3.jpgLes facettes ont été réalisées sur deux incisives riziformes après un traitement orthognathique 14 ans auparavant.
Les récessions principales concernent le secteur 1 antérieur, parodonte fin et plat.
Nettoyer parfaitement le site et valider la plaque palatine

bibli/1.3.jpgIncisions sulculaires dans le site receveur à la microlame sans sectionner les papilles.
bibli/2.12.jpgTunnélisation du parodonte superficiel, le tissu doit être lâche, laxe et non déchiré.
bibli/2.2.jpgPrélèvement des greffons conjonctifs.
bibli/2.3.jpgDeux fils sont préalablement montés sur le greffon dans son sens horizontal.
bibli/3.1.jpgLes aiguilles passent les tunnels et le greffon est plaqué horizontalement.
bibli/3.2.jpgLes sutures suspendues vont plaquer le greffon verticalement et le tracter vers la ligne du collet.
bibli/3.3.jpgLes facettes ont été réalisées sur deux incisives riziformes après un traitement orthognathique 14 ans auparavant.
bibli/1.0.jpgLes récessions principales concernent le secteur 1 antérieur, parodonte fin et plat.
bibli/1.21.jpgLa vue occlusale ne montre pas de surcontour de la pièce prothétique ; il n’y a pas lieu de reprendre le travail de céramique.
bibli/1.31.jpgAprès les anesthésies, le site est cureté manuellement.
bibli/1.2.11.jpgUne brosse et une ponce sont appliquées afin d’éliminer tous les résidus extrinsèques.
La plaque palatine est validée en bouche. Nous verrons qu'avec le type de prélèvement pratiqué, elle est optionnelle.
Le point de contact est collé avec un adhésif et une résine composite
2 Préparation du lit receveur et prélèvement du greffon![]()
Les sites donneurs se trouveront en avant de la première molaire.
Incisions et premiers décollements
Tunnelisation proprement dite
[gallery…























