À propos de cas cliniques
Un complexe muco-gingival pathologique est celui où les tissus gingivaux ne maintiennent plus une attache durable à la dent et à l’os sous-jacent. Cela se traduit par un manque de quantité ou de qualité du tissu attaché kératinisé et/ou par des récessions gingivales. L’esthétique est un problème moins important à la mandibule qu’au maxillaire car, dans la plupart des cas, le complexe muco-gingival est peu visible. Le recouvrement des récessions sera uniquement recherché dans les cas d’hypersensibilité dentaire, l’objectif thérapeutique majeur étant de recréer un tissu kératinisé maintenant une attache à la dent et aux tissus sous-jacents pour faciliter le contrôle de la plaque. Cet article a pour objectif de comparer la greffe épithélio-conjonctive et le lambeau tracté coronairement associé à une greffe conjonctive enfouie pour traiter les problèmes muco-gingivaux à la mandibule.
Cas cliniques
Cas clinique 1
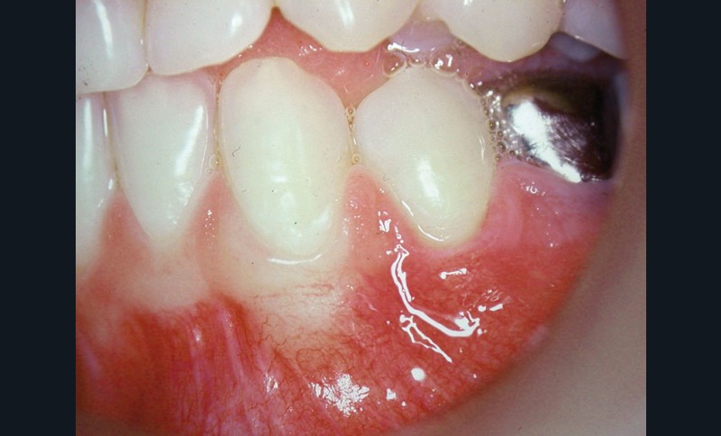
Dans ce premier cas, la présence d’un complexe muco-gingival inadéquat (fig. 1) est observée sur une canine et une prémolaire.
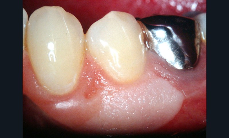
Cette absence de gencive attachée peut prédisposer à la formation d’une récession gingivale. Une greffe épithélio-conjonctive est réalisée. Elle permet d’obtenir un lambeau de gencive attachée kératinisée stable (fig. 2).
Cas clinique 2
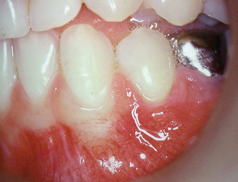
Dans ce deuxième cas, la canine mandibulaire présente également une absence de gencive attachée, associée ici à une récession gingivale (fig. 3).
Une greffe épithélio-conjonctive est réalisée (fig. 4).
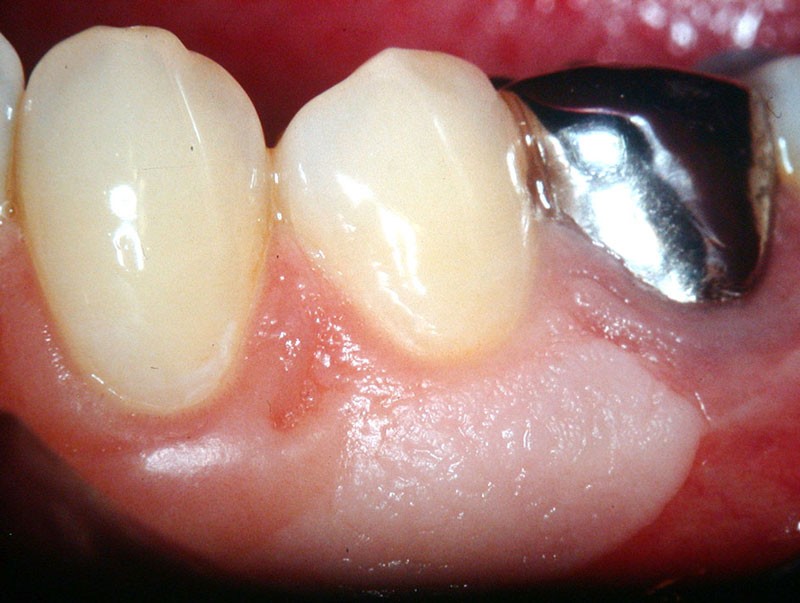
Positionnée plus coronairement que la précédente (fig. 5), elle permettra de recouvrir la récession et de recréer un lambeau de gencive attachée (fig. 6).
[gallery link= »file » columns= »1″…




