GEPI Groupe d’Études en Parodontologie et Implantologie
Cas clinique
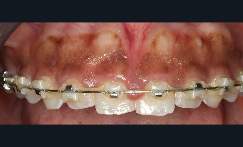
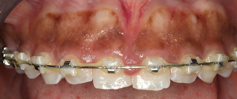
Une patiente de trente ans, traitée orthodontiquement pour une bi-proalvéolie (fig. 1) aggravée par la présence de diastèmes antérieurs et par une supraclusion incisive, consulte pour une hyperplasie gingivale supérieure disgracieuse dans le secteur 14-24 (fig. 2) alors qu’elle est en phase finale (J-60) du traitement orthodontique. L’hyperplasie est apparue au cours du traitement orthodontique dont le but consistait à réduire la projection incisive, à diminuer le sourire gingival par impaction incisivo-canine supérieure et à fermer les diastèmes.
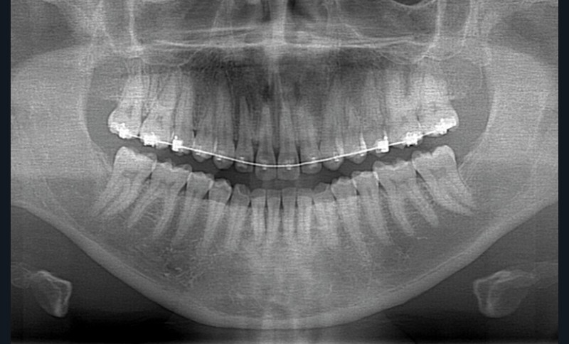
La patiente, outre une allergie au pollen, ne présente pas d’antécédents. L’examen parodontal initial révèle une enveloppe parodontale saine avec une gencive en « peau d’orange » et une pigmentation ethnique ; l’examen radio-clinique du secteur 14-24 met en évidence une hauteur de plus de 3 mm de gencive attachée, des poches vestibulaires et interproximales de 3 à 5 mm sans atteinte osseuse (fig. 3) ni migration de l’attache épithélio-conjonctive.
Intervention
La gingivectomie du cadran 14-24 est programmée avec une prémédication de paracétamol (2 g/j péri-opératoire). L’anesthésie locale est suivie du pointage de la profondeur des poches (fig. 4) préfigurant le trait d’incision. L’incision à la lame froide à biseau externe (fig. 5) forme un angle de 45° avec la surface dentaire. Elle est festonnée en harmonie avec le contour existant des collets dentaires. Elle est complétée à la fraise rotative chirurgicale CeraTip® (KT314.016, Komet) (fig. 6). La section des fibres conjonctives circonférentielles est réalisée aux ciseaux d’Orban, et le bandeau de gencive est délicatement éliminé aux ciseaux de Kirkland n° 15/16. Le tissu de granulation et le tartre résiduel sont éliminés avant un rinçage à l’aide d’un mélange de peroxyde d’hydrogène à 3 % et de povidone…

