Motif de la consultation.
Homme de 56 ans adressé par le service de néphrologie pour le traitement d’une gingivite.
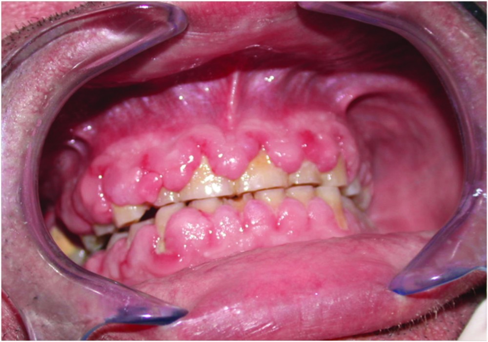
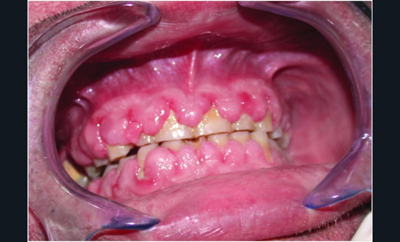
Histoire de la maladie. Depuis trois ans, le patient présentait une hypertrophie gingivale qui recouvrait en partie la face vestibulaire des dents.
Interrogatoire. Le patient, transplanté rénal, était traité par ciclosporine et inhibiteurs calciques. Le patient décrivait l’apparition d’une gingivite 12 mois après la transplantation rénale, associée à une augmentation progressive du volume de la gencive avec le temps. Le brossage des dents était devenu impossible. Il avait été traité par azithromycine sans succès.
Examen clinique. La gencive était hypertrophique. Elle formait des nodules fibreux, sessiles, ayant tendance à confluer, et plutôt pédiculés dans la région des papilles. La gencive marginale était associée à de la plaque dentaire.
Examen paraclinique. Aucun examen paraclinique n’était indiqué, car le diagnostic clinique paraissait évident.
Synthèse. Il s’agissait d’une hypertrophie gingivale d’origine médicamenteuse favorisée par la ciclosporine et les inhibiteurs calciques. La fréquence et la sévérité des hypertrophies gingivales d’origine médicamenteuse sont plus importantes chez les transplantés rénaux qui reçoivent un traitement à base de ciclosporine pour prévenir le rejet de greffe et d’inhibiteurs calciques pour leur hypertension artérielle associée. Il existe un effet de classe pour les inhibiteurs calciques qui favorisent le développement d’une hypertrophie gingivale. La prévention de cette hypertrophie repose sur une hygiène bucco-dentaire rigoureuse, car la plaque est l’agent étiologique principal ; les médicaments jouent seulement un rôle de catalyseur. Le traitement repose sur la gingivectomie pour les formes diffuses et sur l’hygiène et la substitution des inhibiteurs calciques par une autre classe médicamenteuse…
