Cas clinique
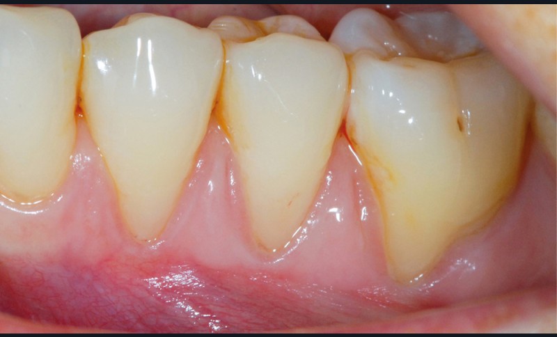
► Il était une fois une amie, médecin, qui présentait des récessions gingivales de 34 à 36. La sensibilité thermique de ces récessions indiquait un recouvrement par une technique de chirurgie plastique parodontale (fig. 1 et 2).
► Nous avons l’habitude de dire que « c’est toujours dans ces cas-là que rien ne se passe comme prévu »… Et en effet, quelques jours après l’intervention, qu’elle ne fut pas ma surprise lorsqu’elle m’annonça qu’elle avait partiellement perdu sa sensibilité labiale ! Une sacrée complication ! Son stress… et le mien étaient à leur comble. De quel type de lésion s’agissait-il précisément ? Quelles pouvaient en être les causes ? Comment la rassurer ? Que pouvais-je faire pour y remédier ? Combien de temps cela allait-il durer ? Et surtout, risquait-elle de garder des séquelles ?
► Un chirurgien-dentiste averti en vaut deux. C’est la raison pour laquelle, je souhaitais partager avec vous cette expérience à l’issue heureuse !
Face aux récessions de classe 1 de Cairo [1] et en présence d’un vestibule relativement profond, une technique de recouvrement radiculaire par lambeau positionné coronairement selon Zucchelli et De Sanctis [2] associé à un greffon conjonctif est choisie.
Cette technique permet de recouvrir des récessions gingivales contiguës par une traction coronaire après une dissection partielle superficielle au-delà de la ligne muco-gingivale. Grâce à un jeu d’incisions des papilles, les incisions de décharge ne sont pas nécessaires. Un greffon conjonctif prélevé au palais selon la technique de l’enveloppe [3] est placé sur les récessions et suturé en même temps que le lambeau par des points suspendus [4].
Dans notre cas clinique, l’intervention a duré un peu moins d’une heure.
La patiente était prémédiquée :
- antibiothérapie le jour de l’intervention : amoxicilline 500 mg, 2…

