Protocole de forage pré-extractionnel
Araujo et Hämmerle ne remettent pas en cause le fort taux de survie des implants immédiatement placés lors d’avulsions [3]. Cependant, à travers différents articles, ils démontrent une perte osseuse autour de ces implants [4, 5, 6]. De ce fait, nous pouvons dire aujourd’hui qu’un implant immédiat ne maintiendra pas les volumes osseux par sa simple présence. Le succès dépendra donc de la prévision de la future résorption osseuse du site d’extraction.
Les volumes peuvent être maintenus car les parois osseuses servent de membrane naturelle pour la néoformation osseuse à partir du caillot sanguin, d’os autogène ou de biomatériaux placés dans l’espace entre l’implant et la paroi osseuse.
Sans un comblement, plus la paroi osseuse est fine, plus la résorption sera importante [7, 8].
Il est donc essentiel de prévoir la perte osseuse lors du placement d’un implant.
Dans un site molaire, il n’y aura aucune conséquence esthétique. L’emplacement idéal de l’implant se situera au centre de la dent qui correspond au milieu du septum interradiculaire.
Cela se justifie d’une part d’un point de vue mécanique, la transmission des forces verticales se faisant suivant cet axe et, d’autre part, d’un point de vue histologique, car l’implant sera à distance de la table vestibulaire sujette à la résorption.
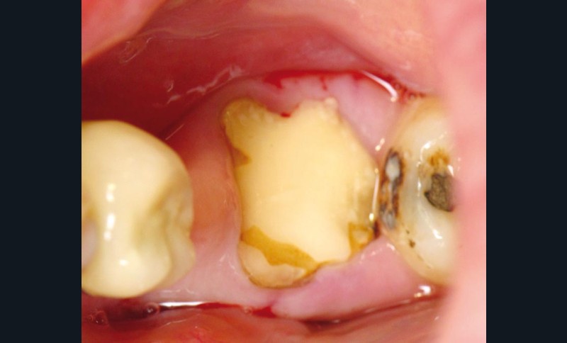
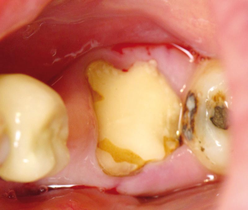
Pour avulser une molaire qui ne répond plus aux traitements conservateurs (fig. 1) et positionner un implant dans le même temps, nous devons résoudre les deux problématiques suivantes : extraire les racines en préservant le maximum de capital osseux et créer le lit implantaire sans détruire le septum inter-radiculaire.
Pour cela, nous présentons une méthode que nous employons avec un recul de plusieurs années : il s’agit d’inverser les séquences.
En effet, après avoir séparé les racines (fig. 2), nous procédons d’abord au forage entre les racines (fig. 3)…
