Implantologie et principes de l’occlusion fonctionnelle

  • Par
  • Publié le . Paru dans Stratégie Prothétique n°4 - 15 octobre 2021 (page 280-288)
Information dentaire
  1. Comment adapter le protocole implantaire à la fonction masticatoire ?
  2. Qu’apporte l’équilibration fonctionnelle à l’ostéointégration implantaire ?
  3. Comment équilibrer une prothèse supra-implantaire ?
  4. Comment gérer un cas complexe en occlusion fonctionnelle ?

    L’implantologie domine au sein de l’arsenal prothétique moderne, le nombre de patients éligibles s’étend et, dès lors que la mobilité articulaire permet l’accès chirurgical, les pathologies de l’articulation temporo-mandibulaire (ATM) ne contre-indiquent pas l’approche implantaire.

    Le choix de la stratégie occlusale est sans concession ; depuis la publication des premiers travaux de Lauret (†) et Le Gall (†) [1], nous sommes en mesure d’apprécier la pertinence et la logique de l’équilibration fonctionnelle, ses résultats rapides, reproductibles et pérennes tant en termes de mastication que de stabilisation, voire de régression des signes cliniques des pathologies articulaires et posturales.

    Toutefois, le bénéfice ne se limite pas aux dyskinésies dento-articulaires (DDA) et aux troubles musculo- squelettiques (TMS) ; la réponse du substrat osseux péri-implantaire est positive et la biomécanique prothétique améliorée.

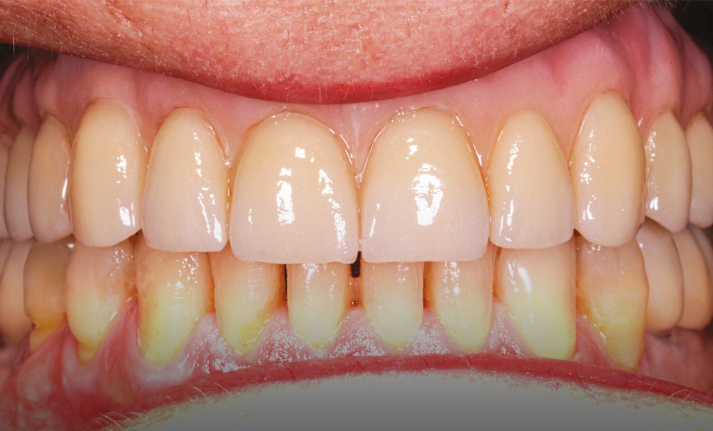
    Équilibration occlusale des prothèses implanto-portées

    Principes généraux : maîtrise des forces axiales et transversales développées pendant la mastication

    L’implant rend possible certaines prouesses techniques comme les réhabilitations complètes sur un nombre minimum d’implants posés dans des situations et des orientations n’obéissant à aucune règle mécanique de dispersion des forces. De telles restaurations demandant un contrôle et une équilibration précise de toutes les forces occlusales, il convient de réaliser un protocole implantaire éclairé afin de ne pas aboutir à des échecs prothétiques [2].

    Spécificités des implants

    À la différence d’une dent naturelle, l’absence de ligament parodontal autour d’un implant ostéo-intégré ne permet pas aux mécanismes d’adaptation du système nerveux central de se manifester avec la même efficience. L’information livrée par le patient sur l’intensité des contacts et des guidages manquera d’objectivité et le…

    Cet article est réservé aux abonnés.
    Pour lire la suite :

    Vous êtes abonné.e ? Connectez-vous
    Mot de passe
    oublié ?

    Vous pouvez également :

    Acheter l'article En version numérique
    Acheter le numéro À l'unité

    Thèmes abordés

    Sur le même sujet

    Implantologie

    Article réservé à nos abonnés Vertiprep versus congé et épaulement

    Responsable scientifique : Anne Longuet Intervenant : Hugues De Belenet Photos et schémas : © Hugues de Belenet Il n’est plus nécessaire,...
    Implantologie

    Article réservé à nos abonnés Déposer un implant : quand et comment ?

    Responsable scientifique : Karim Dada Conférencier : Léon Pariente Bien que les taux de survie des thérapeutiques implantaires soient élevés, équivalents à...
    Implantologie

    Article réservé à nos abonnés L’approche immédiate unitaire : toujours d’actualité ?

    Responsable scientifique : Gary Finelle Intervenant : Joseph Kan L’approche implantaire immédiate du secteur antérieur est parfois appréhendée comme une indication thérapeutique...