Malgré les progrès dans la prévention bucco-dentaire et le développement de thérapeutiques très conservatrices pour l’organe dentaire, l’extraction dentaire reste un acte fréquent dans la pratique quotidienne des chirurgiens-dentistes.
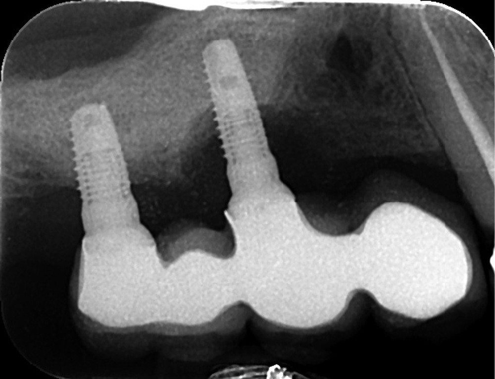
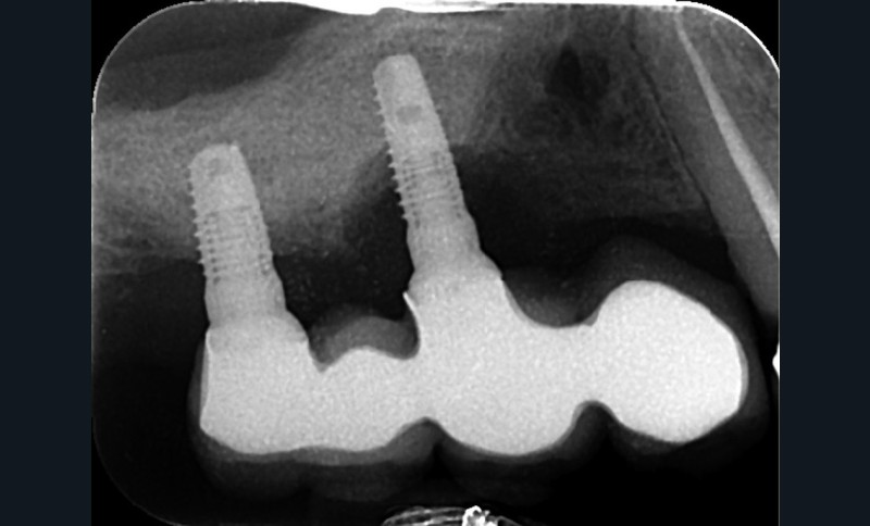
Le plus souvent pour des raisons carieuses et/ou parodontales l’avulsion d’une dent nécessite dans l’idéal son remplacement afin d’éviter une dégradation de l’appareil manducateur et des fonctions associées (mastication, phonation, sourire…).La mise en place d’implants dentaires ostéointégrés est une solution de choix pour remplacer les dents absentes car elle présente d’excellents résultats en termes de pérennité, de confort et d’esthétique. Ce n’est cependant pas une thérapeutique parfaitement fiable à 100 %. Dans un certain nombre de cas, des pertes osseuses péri implantaires se produisent, pouvant entraîner un inconfort, des douleurs et parfois la perte des implants.
Jemt [1] a listé de manière exhaustive les facteurs pouvant être responsables de la perte osseuse autour des implants (fig. 1). Il en a recensé au total 86. Cela montre bien l’origine plurifactorielle de ce type de pathologie. Il est difficile de traiter ici tous ces items ; cet article s’intéressera à deux grands types de facteurs de risques : l’hygiène bucco-dentaire (Jemt cite les antécédents de maladie parodontale, les causes de la perte des dents, le tartre, le biofilm, la plaque, le génotype et le phénotype bactérien) et la prothèse supra-implantaire (le design de l’infrastructure, son adaptation, son immobilité, le design de la prothèse sont également listés).
Mucosite et péri implantite
La littérature rapporte des taux de survie implantaire à dix ans supérieurs à 95 % [2]. Après vingt ans de mise en fonction, le taux de survie tombe à 91 % pour l’équipe de Lekholm [3]. Les patients suivis dans cette étude, ont été implantés entre 1983 et 1985…
