La détermination d’un positionnement correct du maxillaire dans le massif cranio-facial est essentielle lors d’une réhabilitation prothétique étendue. Plans et lignes de références permettent de transférer la position du maxillaire sur articulateur et d’évaluer l’agencement dentaire avec l’harmonie globale du visage [1]. La conception et la réalisation d’une prothèse complète, amovible ou transvissée, sont des exercices difficiles pour le praticien, comme pour le prothésiste de laboratoire, qui doivent imaginer et recréer de manière optimale les fonctions et l’esthétique perdues [2].
En prothèse amovible complète, le plan d’occlusion correspond au plan selon lequel seront montées les dents prothétiques. En règle générale, il passe par le bord libre des deux incisives centrales et le bord distal des deuxièmes molaires inférieures [2]. Outre des répercussions d’ordre esthétique, un plan d’occlusion erroné peut perturber la cinématique mandibulaire, générer un inconfort, une impotence, voire un handicap fonctionnel. Des conséquences pathologiques à long terme telles que des myoarthropathies de l’appareil manducateur peuvent aussi se manifester [2].
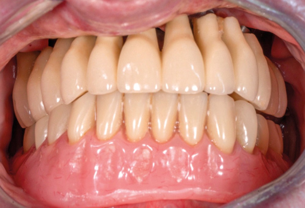
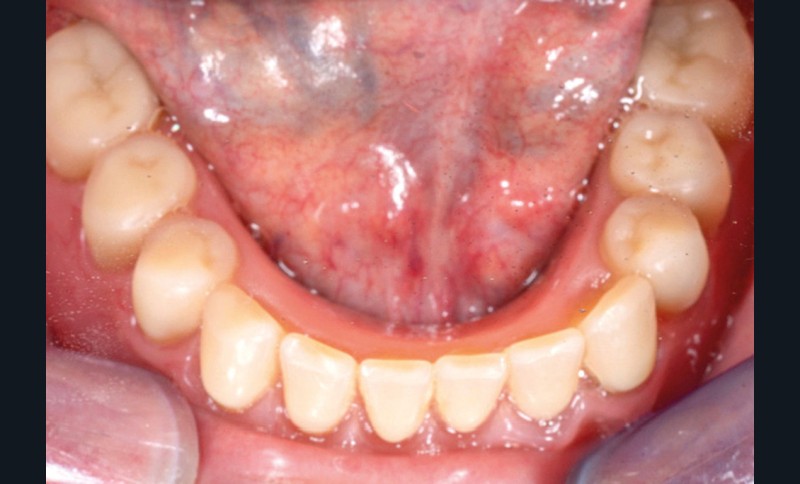
Dans le cas clinique présenté dans cet article, le patient édenté total bimaxillaire se plaint d’une gêne importante et d’une insatisfaction de son sourire en lien avec un plan d’occlusion prothétique inadapté (fig. 1 et 2).
Chez l’édenté total, la bonne orientation du plan d’occlusion prothétique permet de répondre à des impératifs fonctionnels et esthétiques :
- Les impératifs fonctionnels.
L’orientation du plan d’occlusion est primordiale, car elle influe sur la puissance masticatoire du patient [3]. De plus, celui-ci assure également la stabilité des prothèses lors de la mastication. Un plan d’occlusion erroné peut créer une certaine instabilité et une inefficacité…





