Suivi du cas clinique
L’article publié en 2010 illustrait la gestion de l’extraction d’une 14 fistulisée avec préservation de la crête par NovaBone® avant implantation différée. Les résultats cliniques, radiologiques et histologiques y étaient discutés [3].
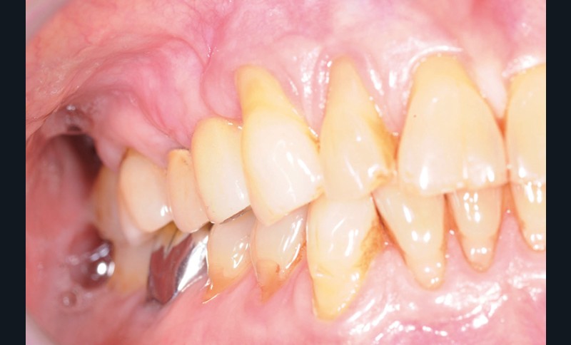
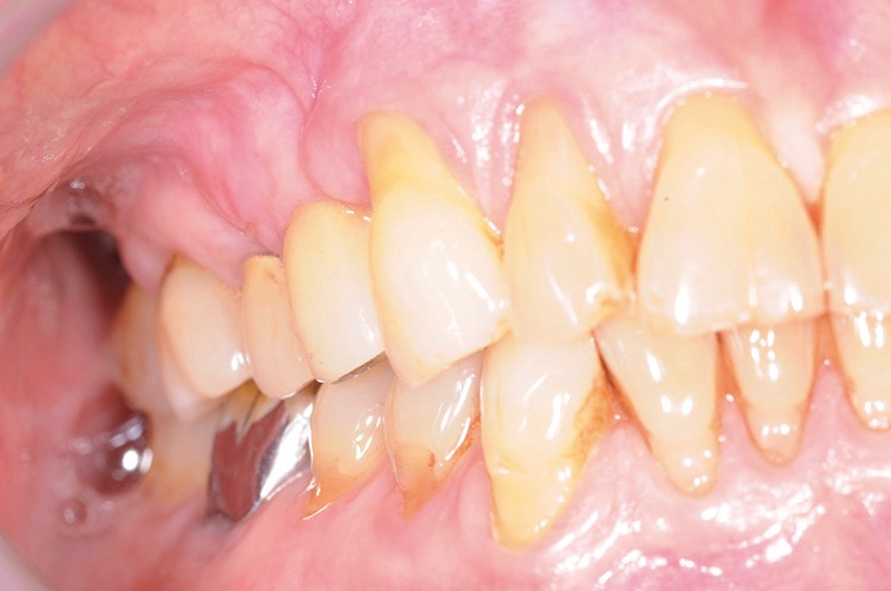
À la pose de la couronne implantaire, on notait une parfaite intégration des tissus mous(fig. 1a et b).
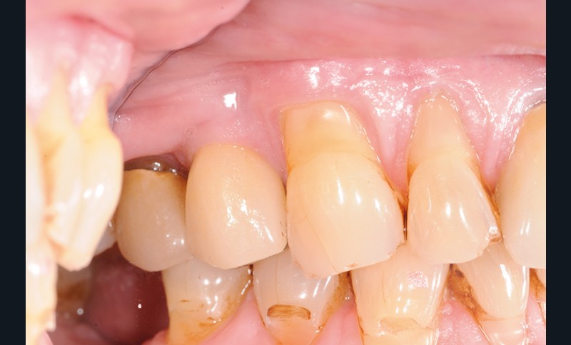
Lors de la maintenance de 2016, le contrôle de plaque de la patiente est toujours excellent et les tissus implantaires ne présentent pas de signes inflammatoires(fig. 2a et b).
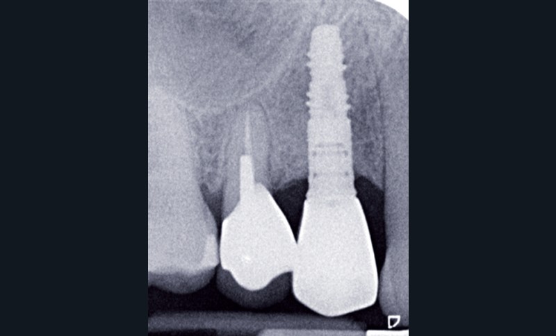
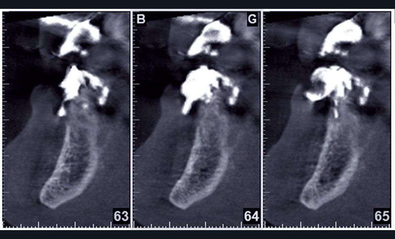
Le contrôle radiologique rétro-alvéolaire montre, quant à lui, une parfaite préservation de l’ostéointégration à 6 ans(fig. 3a et b).
Cette ostéointégration est confirmée par le Cone Beam(fig. 4a et b).
Le suivi à 6 ans de ce cas confirme donc les résultats prometteurs observés à court terme ainsi que les premières publications cliniques et fondamentales [4, 9]. Dans les chirurgies de préservation de crête, NovaBone® apparaît être un substitut fiable puisqu’à la réouverture à 4 mois, on note une reconstitution quasi ad integrum du volume osseux. De plus, le remplacement quasi complet des particules de NovaBone® par un os néoformé bien vascularisé permet la pose et le blocage des implants dans les sites [7].
Autres indications cliniques
NovaBone® trouve aussi sa place dans de nombreuses autres indications cliniques illustrées ici.
• Lésion kystique (fig. 5a à e)
Ce patient âgé de 74 ans se présente au cabinet en avril 2010 pour un abcès sous le bridge au niveau du secteur 31-33. L’indication thérapeutique d’amputation radiculaire de la 32, d’un curetage et d’un comblement…












