Cas clinique
D’après une étude de Bjork et coll. [1] sur la croissance faciale au maxillaire, il a été établi que la fin de la croissance chez la femme survient vers l’âge de 15 ans, alors qu’elle peut se poursuivre chez l’homme au-delà de l’âge de 19 ans.
Des couronnes implanto-portées placées chez des jeunes patients qui n’ont pas terminé leur croissance se sont retrouvées en infraocclusion [2, 9].
Dès lors, il est conseillé d’envisager le traitement implantaire après 15 ans chez la femme et 18 ans chez l’homme [10, 11].
Précisons que la croissance faciale se poursuit toute la vie [3, 4].
Présentation du cas
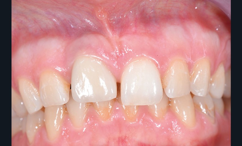
Une patiente âgée de 28 ans consulte pour un problème esthétique au niveau de la dent 11, porteuse d’une couronne implanto-portée (fig. 1a).
La patiente ne présente pas de problèmes de santé et ne fume pas.
L’examen clinique révèle une différence d’alignement et un tissu gingival péri-implantaire peu épais sur cette couronne implanto-portée.
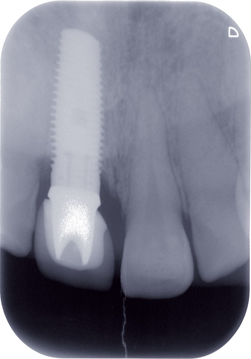
La radiographie ne révèle aucun problème d’ostéointégration implantaire (fig. 1b).
Traitement initial en 2004
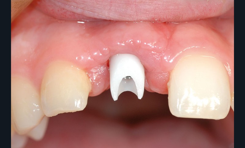
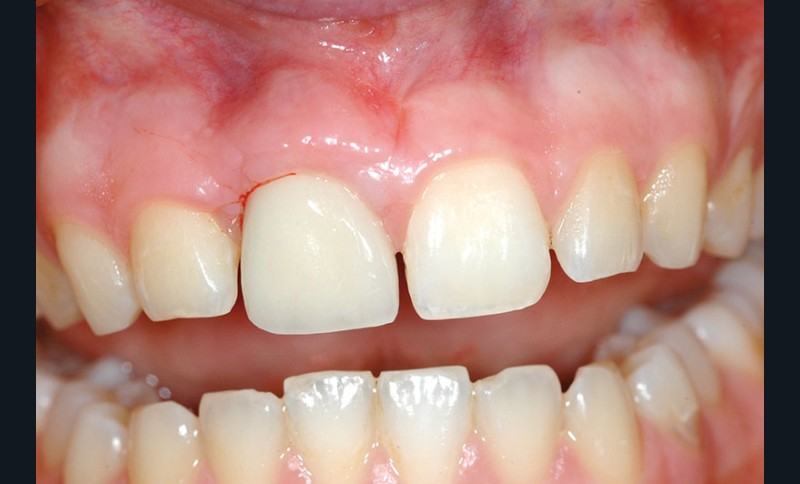
L’implant a été posé alors que la patiente était âgée de 17 ans (le 13 août 2004), à la suite d’un traumatisme entraînant la perte de cette dent (fig. 2a à d), puis la couronne a été posée 5 mois plus tard (le 7 janvier 2005).
Reprise du traitement en 2015
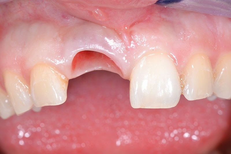
Après analyse et discussion avec la patiente, nous décidons de ne pas retirer l’implant, ce qui entraînerait un dégât osseux important lors de la dépose.
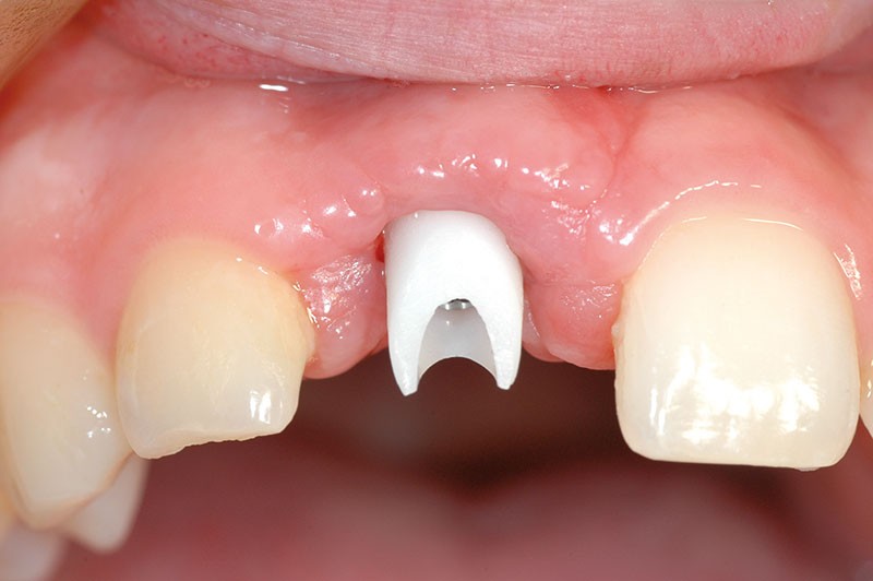
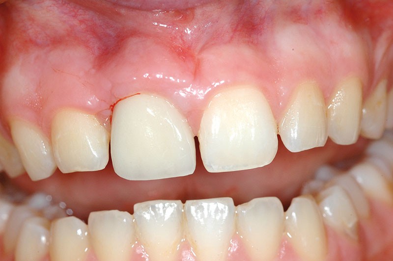
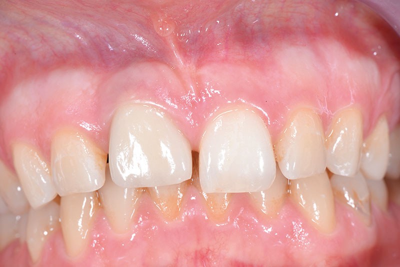
Nous proposons de retirer la couronne et le pilier implantaire, d’effectuer une greffe de tissu conjonctif enfouie afin d’améliorer le volume du tissu kératinisé péri-implantaire [5] et de procéder à la pose d’une couronne provisoire transvissée (fig. 3a à h).
[gallery link= »file » columns= »1″ ids= »32711, 32712, 32713…





