Présentation clinique
Une patiente de 64 ans, en bonne santé générale, suivie en maintenance parodontale depuis sept ans (parodontite 3B), est vue en juin 2014 pour l’extraction de sa 24 en raison d’infections endodontiques récurrentes. Le plan de traitement prévoit la pose extemporanée d’un implant et sa restauration prothétique quatre mois plus tard. La 25 est une dent couronnée et 23 et 26 sont des restaurations implantaires (fig. 1a à c). La dent antagoniste 35 est une restauration implantaire.
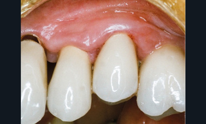
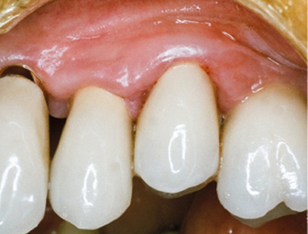
En mars 2016, la patiente se plaint d’une sensibilité sur la 25 et on note cliniquement une inflammation gingivale associée à un décalage apical du rebord marginal et de la ligne muco-gingivale en comparaison de leur situation visualisée au niveau des coiffes supra-implantaires. La couronne clinique est réduite et une infraposition avec une inocclusion d’environ 2 mm par rapport au plan d’occlusion et aux dents antagonistes est également notée (fig. 2 à 4). Un saignement au sondage ainsi qu’une poche de 5 mm en distal sont constatés. Le test de percussion est positif. Les tissus péri-implantaires adjacents ne présentent aucun signe de mucosite.
La radiographie péri-apicale au long cône confirme, sur la 25, un élargissement desmodontal, notamment en distal, des niveaux osseux mésio-distaux réduits par rapport aux clichés de contrôle précédents (les radiographies sont réalisées avec une technique parallèle avec des angulateurs de Rinn non personnalisés), un apex radiculaire normal et des niveaux osseux stables sur les implants adjacents (fig. 5). Le cisaillement systématique du fil dentaire lors de son passage confirme des points de contact très étroits entre 24, 25 et 26.
Diagnostic
Le diagnostic d’ingression de la 25 pouvant être à l’origine d’un remodelage des tissus parodontaux et d’une récidive…






