Inlays, onlays, overlays du direct à l’indirect : comment définir l’indication ?

  • Par
  • Publié le . Paru dans Biomatériaux Cliniques, L'Information Dentaire n°1 - 15 mars 2019 (page 63-69)
Information dentaire
Inlays, onlays, overlays… Et si l’avenir de l’odontologie conservatrice passait par ces restaurations partielles collées ? Le collage nous a affranchis des principes, souvent invasifs, de rétention mécanique et l’essor des procédés numériques (caméras, scannage, blocs à usiner…) simplifie et démocratise de plus en plus la réalisation de ces pièces prothétiques. Il existe toutefois une multitude de difficultés sur lesquelles nous butons parfois dans notre pratique clinique, car la réussite du collage exige un protocole très technique et rigoureux incluant une bonne connaissance de la biomécanique et des biomatériaux dentaires. Par ailleurs, les indications des inlays/onlays sont parfois floues et l’ensemble des publications scientifiques, loin d’attirer le praticien vers ces techniques, semble parfois l’en éloigner au vu de l’ensemble des pièges cliniques à éviter ou à résoudre. Enfin, le contexte financier a longtemps été particulièrement défavorable à ces restaurations partielles au profit des restaurations périphériques plus invasives et farouchement ancrées dans nos habitudes et dans notre enseignement universitaire. Il semble pourtant que nous commencions enfin à être entendus sur les progrès du collage ainsi que les avantages biologiques et biomécaniques de la préservation tissulaire, et les pouvoirs publics ont apparemment entériné dans la nomenclature les bénéfices à long terme de ces restaurations partielles collées. Ce changement de paradigme doit donc nous pousser à cesser de systématiser les couronnes périphériques scellées, les reconstitutions corono-radiculaires, voire les pulpectomies préventives au profit des concepts très contemporains de « no post, no crown » pour une dentisterie plus biologique, plus esthétique et surtout plus pérenne. Dans ce contexte, il nous a paru intéressant de répondre aux questions les plus fréquentes que nous pouvons être amenés à nous poser lorsque nous décidons la réalisation d’un inlay/onlay à travers la création de cette rubrique. Charles Toledano

Ce premier article fait le point sur les indications de ces restaurations car, si nous n’hésitons pas
à réaliser des composites directs dans les cavités réduites et des restaurations indirectes dans les cavités volumineuses, le choix est souvent plus délicat dans les cavités de volume moyen où les deux options thérapeutiques trouvent souvent leurs arguments respectifs. Dans le prochain numéro, nous nous intéresserons aux indications de conservation ou de recouvrement des parois résiduelles.

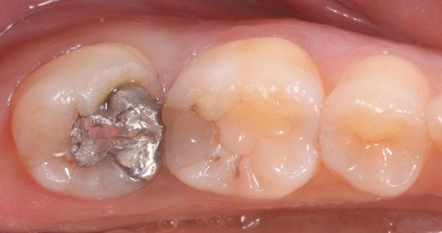
Nous disposons de deux approches pour rétablir l’intégrité biologique, mécanique et esthétique d’une dent délabrée : l’approche directe ou indirecte.

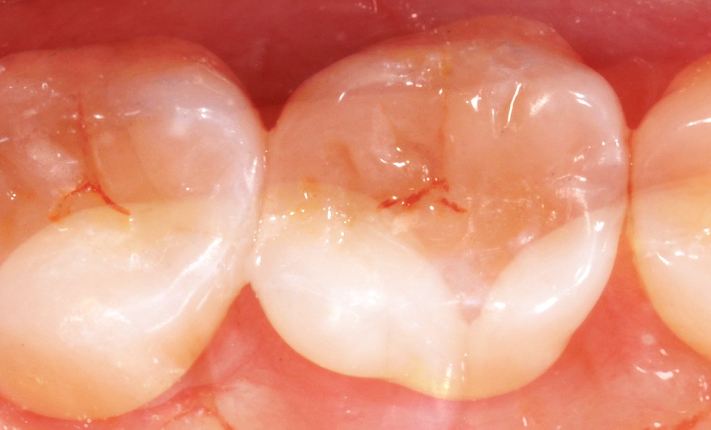
Rien n’est clairement tranché quant à ce choix [1-6] car quatre récentes méta-analyses bibliographiques confirment qu’il n’y a pas de différence de longévité entre les restaurations en composite directes et indirectes, indépendamment du matériau et de la dent restaurée [2, 3, 5, 6]. Les figures 1 à 6 présentent une situation clinique avec des pertes de substance de volume moyen restaurées en méthode directe. Nous allons essayer de justifier le passage de la technique directe à la technique indirecte qui fait intervenir un grand nombre de paramètres [7, 8].

1. Chez une patiente de 35 ans, ces deux anciennes obturations infiltrées et fracturées doivent être déposées. Le choix thérapeutique entre restaurations directes ou indirectes se fera après une analyse préalable : – du volume tissulaire à restaurer (plus le volume de matériau nécessaire à la restauration d’une cavité est important, plus la contraction de prise du composite sera forte). Dans ce cas, le volume à restaurer semble moyen ; – de la persistance de la vitalité pulpaire (une approche indirecte avec recouvrement cuspidien est généralement préconisée pour les dents dévitalisées pour limiter le risque de fracture radiculaire). Dans…

Cet article est réservé aux abonnés.
Pour lire la suite :

Vous êtes abonné.e ? Connectez-vous
Mot de passe
oublié ?

Vous pouvez également :

Acheter l'article En version numérique
Acheter le numéro À l'unité

Thèmes abordés

Sur le même sujet

Biomatériaux Endodontie

Article réservé à nos abonnés Sous la lumière bleue, les secrets de la photopolymérisation

Les techniques et les matériaux de restauration ont considérablement évolué au cours des dernières décennies. Parmi eux, les restaurations composites...
Odontologie restauratrice

Article réservé à nos abonnés Défis en traumatologie dentaire : gestion des fractures corono-radiculaires

Responsable scientifique : Emmanuelle Esclassan Noirrit Intervenant : Georgios Tsilingaridis Les fractures corono-radiculaires impliquent à la fois la couronne et la racine...
Odontologie restauratrice

Article réservé à nos abonnés Parlons ensemble d’adhésion

Responsable scientifique : Alain Vanheusden Intervenant : Frédéric Raux Photo et schéma : © Frédéric Raux Le grand principe commun de l’adhésion...
Odontologie restauratrice

Article réservé à nos abonnés Les restaurations partielles en céramique

Responsable scientifique : Michel Bartala Intervenant : Olivier Etienne Les différentes générations de colles La classe des colles avec potentiel adhésif rassemble...