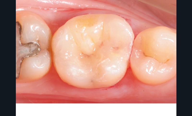
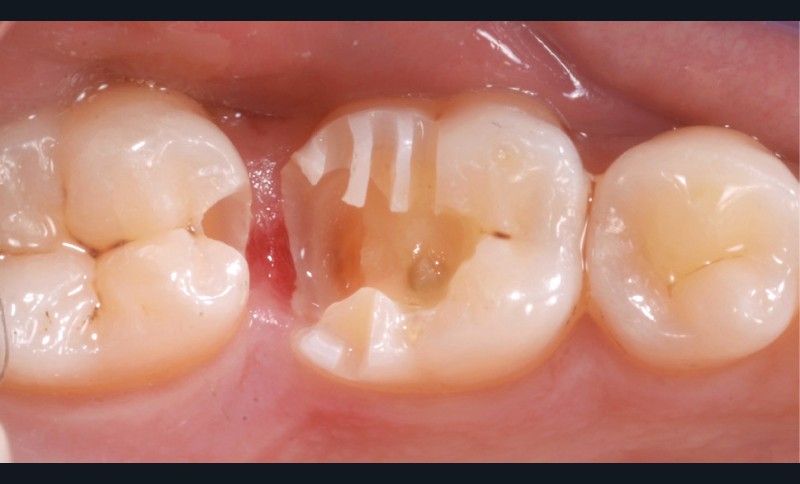
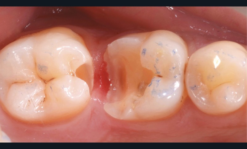
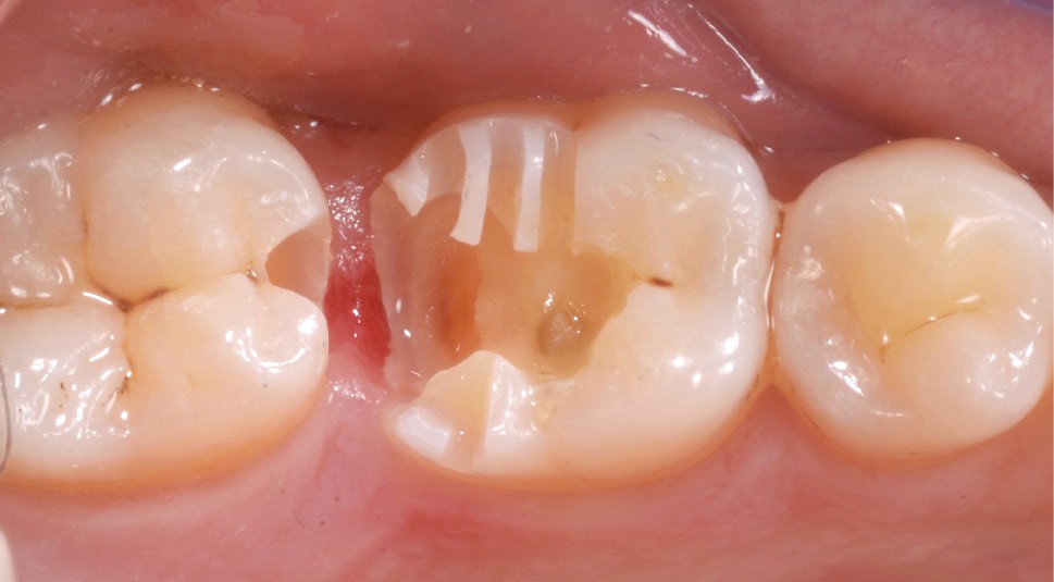
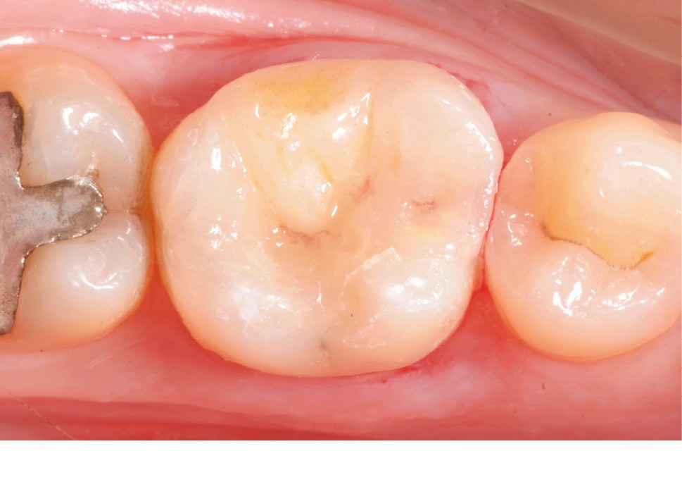
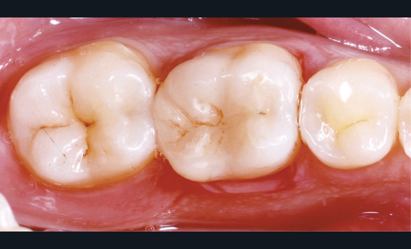
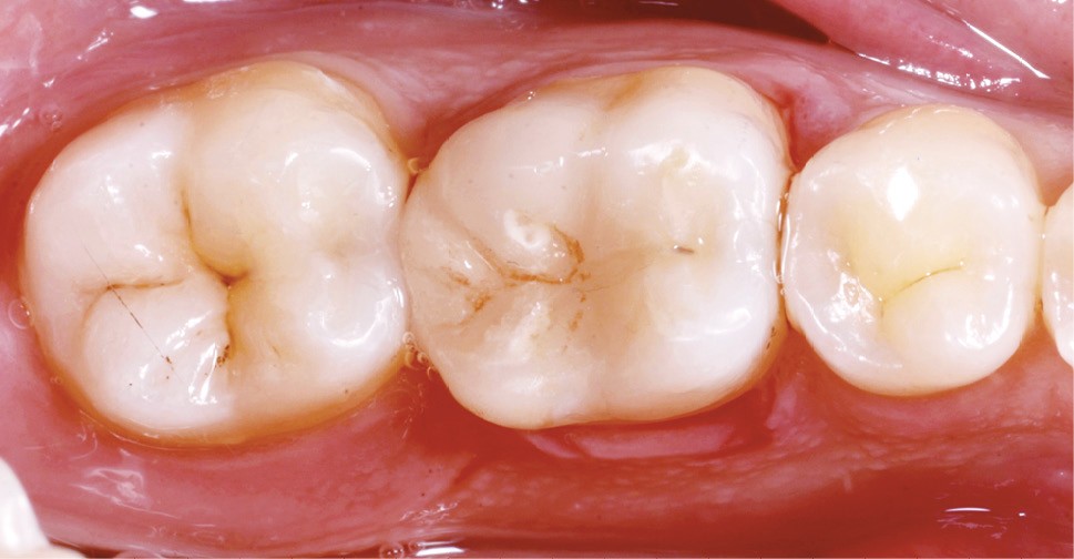
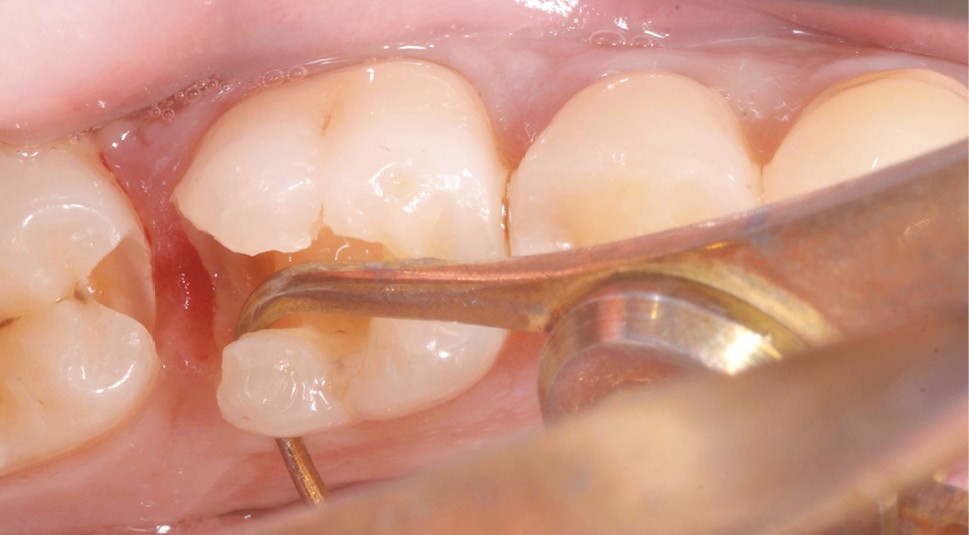
Lors de la préparation d’une cavité pour inlay/onlay, il est fréquent d’être confronté, en fin de nettoyage, à la présence d’une ou plusieurs parois résiduelles dont la résistance mécanique paraît douteuse du fait de leur localisation ou de leur épaisseur. Les parois épaisses (+ de 2 mm) peuvent généralement être conservées (cas clinique 1) et les parois fines (- de 1 mm) doivent généralement être recouvertes. Un inlay (en composite ou en céramique) est alors réalisé. Il doit avoir lui même, au final, une épaisseur globale minimale de 2 mm pour assurer sa résistance mécanique intrinsèque à la mastication. Si un recouvrement cuspidien est indiqué, la réduction occlusale doit donc se faire sur 2 mm de hauteur au minimum [1, 2].
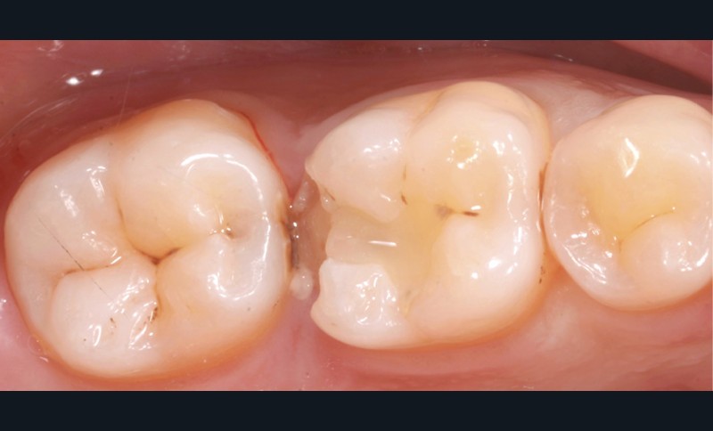
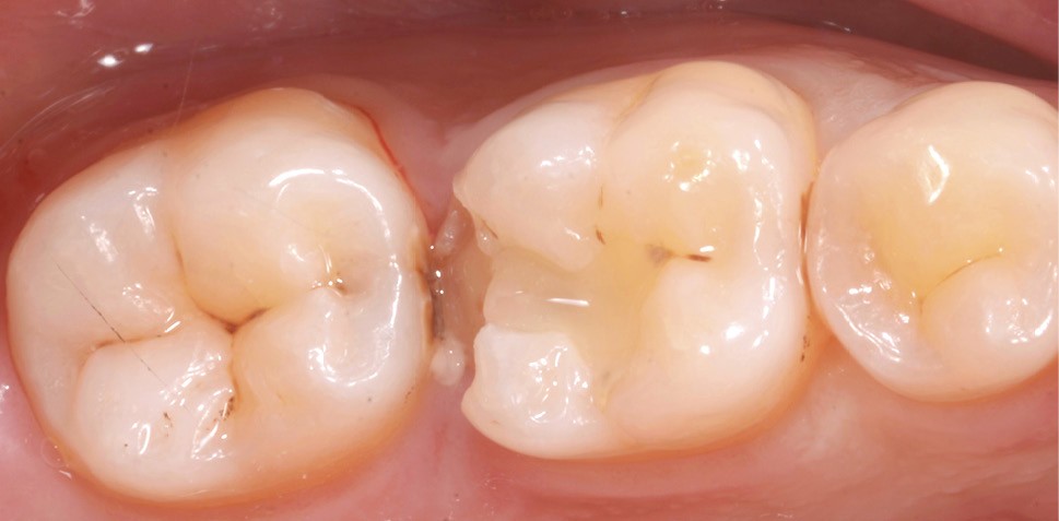
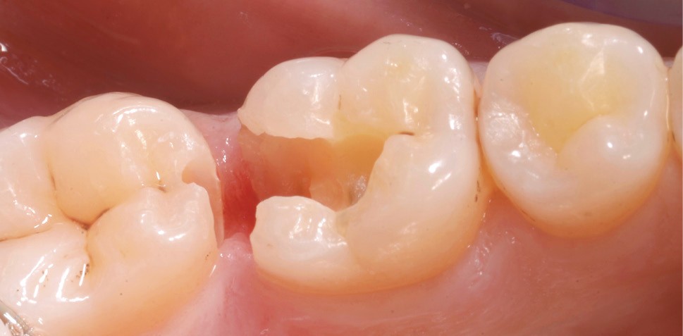
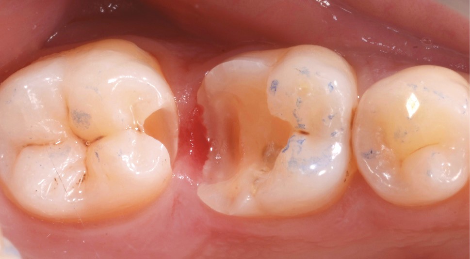
Mais qu’en est-il des parois résiduelles d’épaisseur intermédiaire (entre 1 et 2 mm) (cas clinique 2) ?
S’il est impossible de connaître avec certitude le risque de fracture d’une cuspide, l’objectif de cet article est de donner des éléments objectifs de prise de décision de la conservation ou du recouvrement des parois d’épaisseur moyenne à la fin du nettoyage cavitaire selon la dent, l’occlusion, la forme et le volume de la cavité, la présence ou non de dentine, la vitalité ainsi que l’incidence esthétique.
La localisation (type de dent)
Le pronostic clinique semble plus favorable pour les prémolaires que pour les molaires [3-5], car une plus grande résistance est généralement nécessaire pour les parois des molaires. Mais si 75 % des fractures à la mandibule affectent les molaires, et plus particulièrement la première molaire, au maxillaire, les fractures se répartissent équitablement entre le secteur molaire et le secteur prémolaire [6]. L’épaisseur de l’émail, la largeur de la cuspide comme les…












