Gestion de la symétrie
Les améliorations technologiques des matériaux comme le composite ont eu lieu en réponse à une demande esthétique croissante des patients. En effet, les matériaux composite ont des propriétés optiques de plus en plus proches de celles des dents naturelles [1]. Ils offrent une large gamme de couleurs (masses émail et masses dentine) et d’effets facilitant les rendus de translucidité et d’opacité. Ils sont également de plus en plus faciles à manipuler et à sculpter pour une approche anatomique la plus proche possible de celle de la dent naturelle.
Au-delà de ces améliorations, les composites permettent actuellement des restaurations esthétiques avec la reproduction des détails spécifiques et individuels de chaque dent naturelle, rendant la restauration presque imperceptible par l’œil [2, 3, 4].
Les restaurations antérieures directes en composite doivent donc faire partie intégrante de l’arsenal thérapeutique, lequel s’inscrit dans une philosophie de dentisterie minimalement invasive, s’agissant d’éviter ou de retarder les traitements au moyen de facettes ou de restaurations périphériques [5].
L’intégration d’une restauration composite au niveau d’une incisive est cependant un procédé délicat à appréhender et il est nécessaire, pour répondre à ce défi, de suivre une méthodologie clinique qui permette d’obtenir des résultats fiables et reproductibles.
Cette méthodologie est détaillée dans les pages qui suivent, tant dans l’analyse préopératoire que dans la réalisation de la restauration à travers une situation clinique.
Séance d’analyse préopératoire
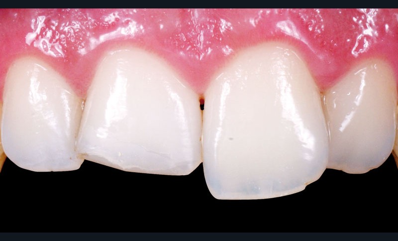
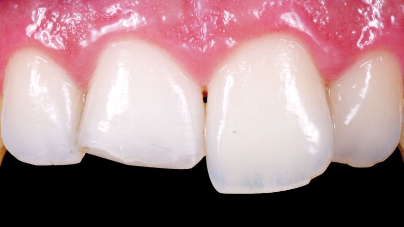
Un patient de 26 ans se présente au cabinet pour la réhabilitation de la 11 facturée. Il a subi un traumatisme à l’origine d’une fracture amélo-dentinaire de cette dent. Un composite a été mis en place en urgence pour protéger le site (fig. 1).
Le traitement proposé consiste donc, selon le gradient…
