Intérêt de l’avulsion précoce des canines temporaires maxillaires pour une évolution optimisée des canines permanentes

  • Par
  • Publié le . Paru dans L'Information Dentaire n°17 - 27 avril 2022 (page 87-93)
Information dentaire

L’importance des dents temporaires est parfois sous-estimée eu égard à leur caractère temporaire et à leur physiologie particulière qui les mène à l’exfoliation. Les dents temporaires jouent un rôle majeur dans le maintien de la dimension des formes et de la taille des arcades dentaires, dans l’harmonie de la croissance faciale.

Cependant, préserver à tout prix la canine temporaire peut ne pas être la solution à la mise en place sur l’arcade de la canine permanente.

Savoir détecter et reconnaître les signes précoces qui concourent à la complication d’une situation clinique (usures dentaires asymétriques, signes du vilain petit canard, ectopie radiologique de la canine définitive, endoalvéolie maxillaire, dysfonctions…) est une chose essentielle.

Mettre en œuvre les moyens préventifs, intercepter la malocclusion, voire entamer un traitement dans sa globalité au moment opportun est primordial.

Orthopédie dento-faciale

Le service d’Orthopédie dento-faciale est composé actuellement de 10 enseignants qui constituent une équipe dynamique et polyvalente (1 PU-PH, 3 MCU-PH, 6 AHU) pour encadrer, conseiller et aider les 16 internes en spécialité tout au long de la semaine.

Le chef de département, le Professeur Michel Le Gall, successeur d’André Salvadori, a pour mission d’organiser l’ensemble des enseignements de l’ODF en formation initiale, et, dans le cadre de la spécialité, de coordonner la collaboration avec les autres sous-sections et les laboratoires de recherche.

L’activité clinique est également sous sa responsabilité dans le cadre du service d’Orthopédie dento-faciale. Dans ce cadre, il doit structurer la consultation d’ODF afin de répartir les patients sur l’ensemble des vacations de la semaine, mettre à la disposition des patients et des étudiants les moyens matériels et humains nécessaires à l’accomplissement de leur mission de soins et de formation clinique.

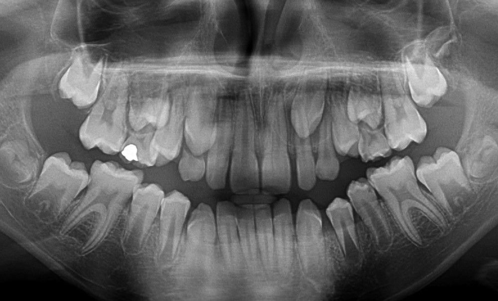
La canine maxillaire est une véritable clé de voûte de l’arcade dentaire du fait de sa situation stratégique qui lui confère des rôles esthétique et fonctionnel majeurs [1]. Après les troisièmes molaires, les inclusions de canines maxillaires sont les plus fréquentes et représentent 18 % des inclusions, soit 2 % de la population, avec une prévalence pour le sexe féminin de deux pour un [2, 3]. Sa mise en place sur l’arcade est donc un objectif majeur pour les praticiens.

Une approche prophylactique des problèmes éruptifs doit être privilégiée en sachant reconnaître les signes cliniques précurseurs comme les voussures incompressibles et indolores du maxillaire. Les images pathologiques et les trajets ectopiques doivent être diagnostiqués précocement par le biais d’un bilan radiologique.

Une fois l’anomalie décelée précocement, une attitude thérapeutique adaptée doit être mise en place, avec par exemple…

Cet article est réservé aux abonnés.
Pour lire la suite :

Vous êtes abonné.e ? Connectez-vous
Mot de passe
oublié ?

Vous pouvez également :

Acheter l'article En version numérique
Acheter le numéro À l'unité

Thèmes abordés