1er lauréat - Concours étudiant
Diagnostic synthétique
Analyse esthétique : la patiente présente une asymétrie faciale (fig. 1a et b) associée à un profil convexe. Son sourire est disgracieux par son obliquité (fig. 1c).
Analyse fonctionnelle : l’examen clinique montre une ventilation orale et une déglutition dysfonctionnelle.
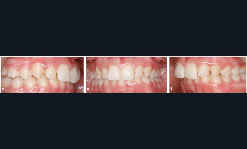
Analyse dentaire : les arcades dentaires sont asymétriques avec une Classe II molaire et canine mais plus importantes à gauche (fig. 1d, e et f).
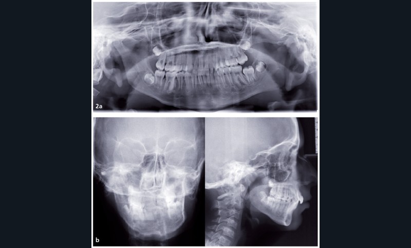
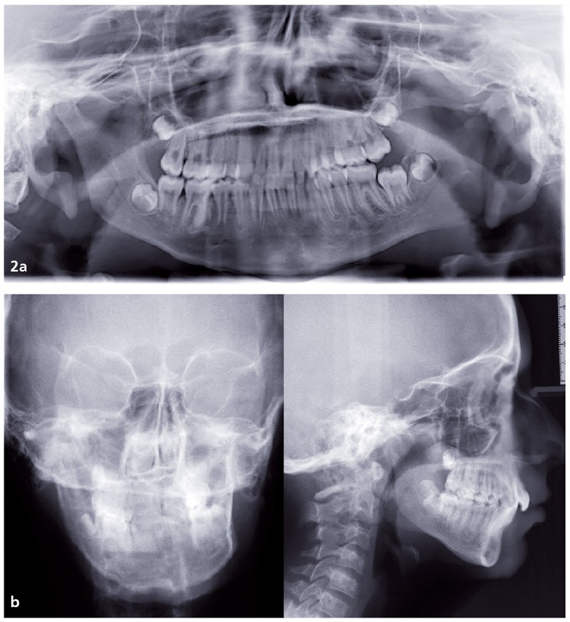
Analyse squelettique : les documents montrent une classe II squelettique modérée par rétrognathie mandibulaire dans un contexte de normodivergence. Les examens complémentaires confirment que la latérognathie mandibulaire gauche est la conséquence d’un hypo-développement des structures maxillaires et mandibulaires de ce même côté (fig. 2a, b et c). On observe sur les reconstructions 3D (à partir des coupes scanner) à l’aide du logiciel Osirix® : un corps mandibulaire fin, un ramus peu développé, un col du condyle grêle.
Thérapeutique
T0 : la thérapeutique repose sur une prise en charge orthodontico-chirurgicale associée à une rééducation des fonctions. Une chirurgie précoce est donc décidée avec :
• une septoplastie de la cloison nasale,
• une chirurgie de Le Fort 1 pour repositionner horizontalement le maxillaire,
• et une ostéotomie mandibulaire avec distracteur pour corriger la latérognathie.
T + 1 mois : la patiente est déjà très heureuse du résultat obtenu avec le repositionnement du menton et un sourire plus horizontal (fig. 3a et b). Le plan de Fox matérialise la correction du plan palatin (fig. 3c).
Les examens de contrôle montrent la position du distracteur et la quantité de tissus néoformés (fig. 4a et b).
T + 2 ans : la patiente est satisfaite du…





