Intérêt des dents Premium®sur une prothèse implanto-portée en Peek

  • Par
  • Publié le . Paru dans Stratégie Prothétique n°5 - 30 novembre 2015 (page 311-315)
Information dentaire
Quel est l’intérêt du matériau Peek dans la construction des armatures ?
Pourquoi utiliser les dents Premium ?
Comment concevoir un cas clinique raisonné ?

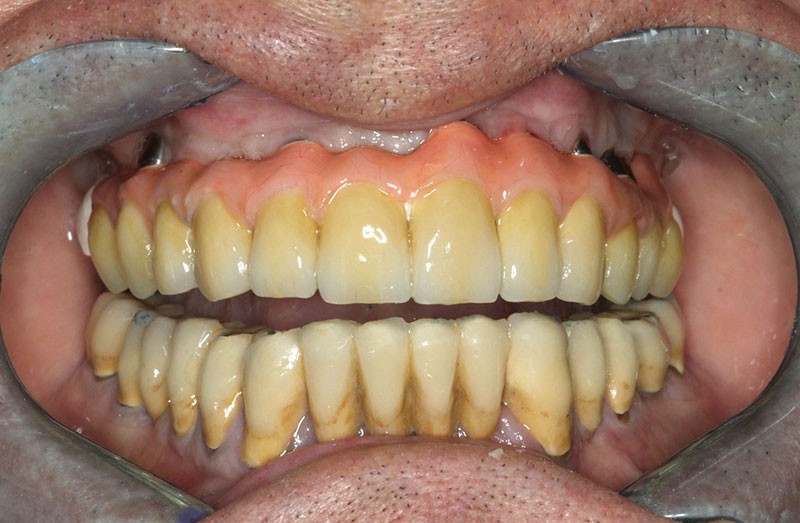
Nous vous proposons dans cet article de détailler pas à pas la réalisation au laboratoire d’une prothèse complète maxillaire implanto-portée, utilisant le matériau Peek sur lequel sont intégrées des coiffes en zircone et des dents artificielles Premium® 8 (Heraeus Kulzer).

Cas clinique
Le patient, âgé de 65 ans, présente une normocclusion (classe I). Il est porteur d’implants en bouche depuis une quinzaine d’années. Il possède une ancienne prothèse maxillaire transvissée, dont les dents se sont dégradées et se sont régulièrement fracturées. Cette prothèse est devenue disgracieuse et inesthétique, car la résine passait mal les épreuves du temps.
Le praticien lui en propose alors une nouvelle, réalisée en matériau Peek, pour des raisons de confort et pour améliorer le côté esthétique.

MATÉRIAUX UTILISÉS
• Le Peek : il s’agit d’un polymère de hautes performances et de haute technologie à charges céramiques. Il appartient à la famille des polyaryléthercétones. Il est employé avec succès depuis de nombreuses années en chirurgie orthopédique.Ses propriétés mécaniques et sa biocompatibilité sont excellentes. Il présente beaucoup de similitudes sur le plan de l’élasticité avec le squelette osseux humain, et un gros potentiel en ce qui concerne les infrastructures prothétiques.
• Les dents Premium® 8 : les dents postérieures Premium® 8 sont en matériau MPM (Multiplex Polymer Matrix). Il s’agit d’une résine PMMA hautement réticulée, comportant de nombreuses liaisons croisées (cross-linking).
Cela présente comme avantages une excellente liaison avec la résine de base et un maquillage aisé, sans cuisson au four.
Leur comportement est proche de celui des dents naturelles. Elles sont disponibles en quatre dimensions facilement identifiables (XS, S, M et L), leur morphologie est similaire à celle des dents naturelles.

RÉALISATION AU LABORATOIRE, “PAS À PAS”
1. Une maquette en bois simulant l’infrastructure…

Cet article est réservé aux abonnés.
Pour lire la suite :

Vous êtes abonné.e ? Connectez-vous
Mot de passe
oublié ?

Vous pouvez également :

Acheter l'article En version numérique
Acheter le numéro À l'unité

Thèmes abordés