Le traitement de la situation d’édenté complet en devenir par une prothèse immédiate implanto- portée a été maintes fois décrit dans la littérature et montre des taux de succès très élevés [1]. De nombreux protocoles ont été décrits, présentant diverses options telles que le nombre d’implants, leur répartition stratégique et le design de la prothèse d’usage. Cependant, le véritable défi pour le praticien réside dans la gestion du profil d’émergence, dès le stade de la temporisation, car il aura une influence directe sur le résultat esthétique final et la satisfaction ou non de nos patients [2].
Examen clinique
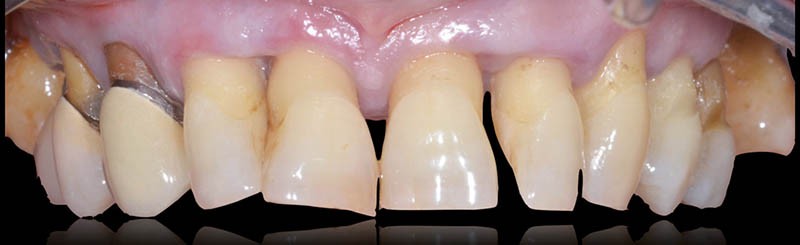
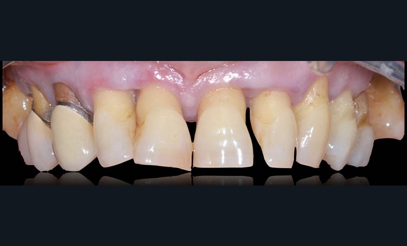
Notre patiente de 65 ans vient consulter pour un préjudice esthétique et fonctionnel. elle se plaint de mobilités dentaires et d’une gêne sur le plan social lorsqu’elle sourit. Elle rapporte des traitements parodontaux par lambeaux d’assainissement réalisés quelques années auparavant. Elle présente un bon contrôle de plaque. L’examen clinique et radiographique révèle une parodontite chronique sévère généralisée, une alvéolyse horizontale de plus de 70 % et un pronostic mauvais sur de nombreuses dents (fig. 1 et 2).
Analyse de la ligne du sourire et de l’esthétique
L’analyse de la ligne du sourire conditionne la réalisation d’une prothèse implanto-portée avec ou sans fausse gencive. Il convient en effet d’éviter l’exposition de la ligne de transition entre la prothèse et la muqueuse. Lors du sourire forcé, la patiente ne présente pas un découvrement gingival. Il a donc été décidé de ne pas ajouter de fausse gencive et de réaliser des dents longues.
Protocole de laboratoire
Une première phase de laboratoire consiste en la réalisation de cires de diagnostic à partir des modèles de la patiente montés en articulateur. Ce projet esthétique est ensuite dupliqué deux fois, l’un en bridge provisoire et l’autre en guide chirurgical…

