Intérêts du montage directeur dans la planification chirurgicale et prothétique des bridges supra-implantaires sur « pilotis »

  • Par
  • Publié le . Paru dans Stratégie Prothétique n°3 - 30 juin 2017 (page 189-200)
Information dentaire
Pourquoi le projet prothétique revêt-il une importance fondamentale ?
Comment entreprendre l’étude prothétique et radiologique ?
Quelles sont les étapes de réalisation des prothèses d’usage ?

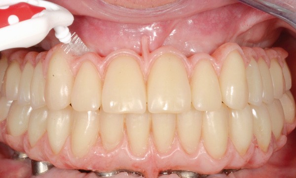
La perte de l’ensemble des dents maxillaires et/ou mandibulaires entraîne un triple handicap d’ordre : fonctionnel, esthétique et social. De nos jours, les patients confrontés à ces situations sont généralement insatisfaits des solutions prothétiques conventionnelles que sont les prothèses amovibles complètes ostéo-muco-portées (PAC) [1]. Or, depuis une trentaine d’années, sous l’impulsion de l’implantologie orale, des solutions particulièrement performantes ont été développées pour réhabiliter l’édenté total. Les bridges supra-implantaires sur « pilotis » permettent de répondre positivement aux attentes fonctionnelles et esthétiques grandissantes de ces patients.
Le remplacement de l’intégralité des dents par ces thérapeutiques reste un défi majeur pour obtenir une bonne intégration.
La planification, souvent difficile à bien penser, est une étape clé de ces traitements. Un bilan pré-implantaire étendu est indispensable mais il doit impérativement être étayé par un projet prothétique dénommé aussi : montage directeur.

Le projet prothétique

Le projet prothétique se définit comme la visualisation prospective de la réhabilitation prothétique future [2-4]. C’est un outil indispensable permettant la planification chirurgicale et prothétique d’un projet implantaire chez l’édenté total [5, 6]. Le bilan pré-implantaire comprend un examen clinique complet (analyse de la ligne et de la largeur du sourire, du plan d’occlusion, de l’espace prothétique disponible et des rapports inter-arcades) et des examens radiologiques (panoramique et cone beam computed tomography (C.B.C.T.)) pour l’analyse du gradient de résorption osseuse [7].

Des modèles issus d’empreintes d’études sont transférés conventionnellement ou par le biais d’un arc facial, sur articulateur à la bonne dimension verticale d’occlusion. Le plan d’occlusion, le point inter-incisif et le soutien des lèvres sont enregistrés…

Cet article est réservé aux abonnés.
Pour lire la suite :

Vous êtes abonné.e ? Connectez-vous
Mot de passe
oublié ?

Vous pouvez également :

Acheter l'article En version numérique
Acheter le numéro À l'unité