Intérêt de la prévisualisation esthétique virtuelle en prothèse amovible complète immédiate maxillaire

  • Par
  • Publié le . Paru dans Réalités Cliniques n°4 - 15 décembre 2021 (page 264-274)
Information dentaire
Le passage à l’édentation complète et la pose de prothèses amovibles complètes immédiates sont des moments redoutés tant par le patient que par le praticien. Pour le patient, en plus de l’impact de l’intervention chirurgicale, la mauvaise adaptation de ces prothèses temporaires reflète mal la situation clinique finale, ce qui peut nuire à l’acceptation du traitement ainsi qu’au processus de guérison puisque les prothèses ne sont pas portées. Cela peut à son tour engendrer un stress supplémentaire pour le praticien, notamment dans le cas d’extractions multiples. La planification numérique facilite la communication entre ces deux parties et guide le prothésiste dans la conception de la prothèse.

Malgré les progrès très importants de la prévention et des traitements conservateurs, l’avulsion d’une dent reste un acte très fréquent en chirurgie dentaire. La situation terminale de l’avulsion de l’ensemble des dents pour des raisons dentaires et/ou parodontales est encore rencontrée régulièrement chez des patients de tout âge. Cette situation est particulièrement handicapante sur les plans fonctionnels, esthétiques mais aussi sociaux.

Les patients qui vont avoir recours à une PAC ont souvent la crainte de ne pas s’adapter à la nouvelle situation. Ils se questionnent sur leurs futures capacités masticatoires, phonatoires, gustatives. À cela s’ajoute un questionnement esthétique pour ces patients : ils ne savent pas comment sera leur prochain sourire.

Le refus de vieillir dans nos sociétés occidentales, associé à un décalage important entre l’âge ressenti et l’âge physiologique, entraîne des demandes et exigences grandissantes chez ces patients [1,2].

L’édentement complet, notamment maxillaire, a des répercussions très importantes sur l’esthétique globale de l’étage inférieur de la face. Des outils numériques simples (appareil photographique numérique, logiciel informatique) permettent d’analyser, de prévisualiser et de communiquer efficacement. Les traitements conventionnels ou implantaires du patient totalement édenté seront ainsi facilités.

La PAC immédiate est une thérapeutique spécifique souvent redoutée à la fois par les patients et les praticiens. Préparée en amont des dernières avulsions et mise en place à la suite de celles-ci, elle est souvent source de difficultés d’adaptation, de rétention, occlusales ou encore esthétiques. La planification numérique sera un outil utile pour guider l’équipe clinicien-prothésiste dans la réalisation de ces prothèses.

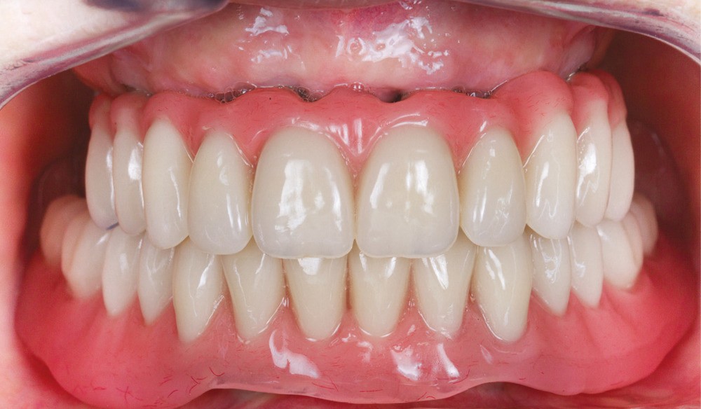
L’édentement complet (fig. 1 à 3)

Selon des projections statistiques, en 2035 en France, un tiers de la population…

Cet article est réservé aux abonnés.
Pour lire la suite :

Vous êtes abonné.e ? Connectez-vous
Mot de passe
oublié ?

Vous pouvez également :

Acheter le numéro À l'unité

Thèmes abordés