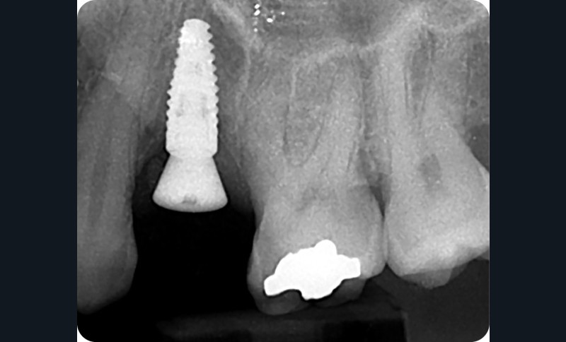
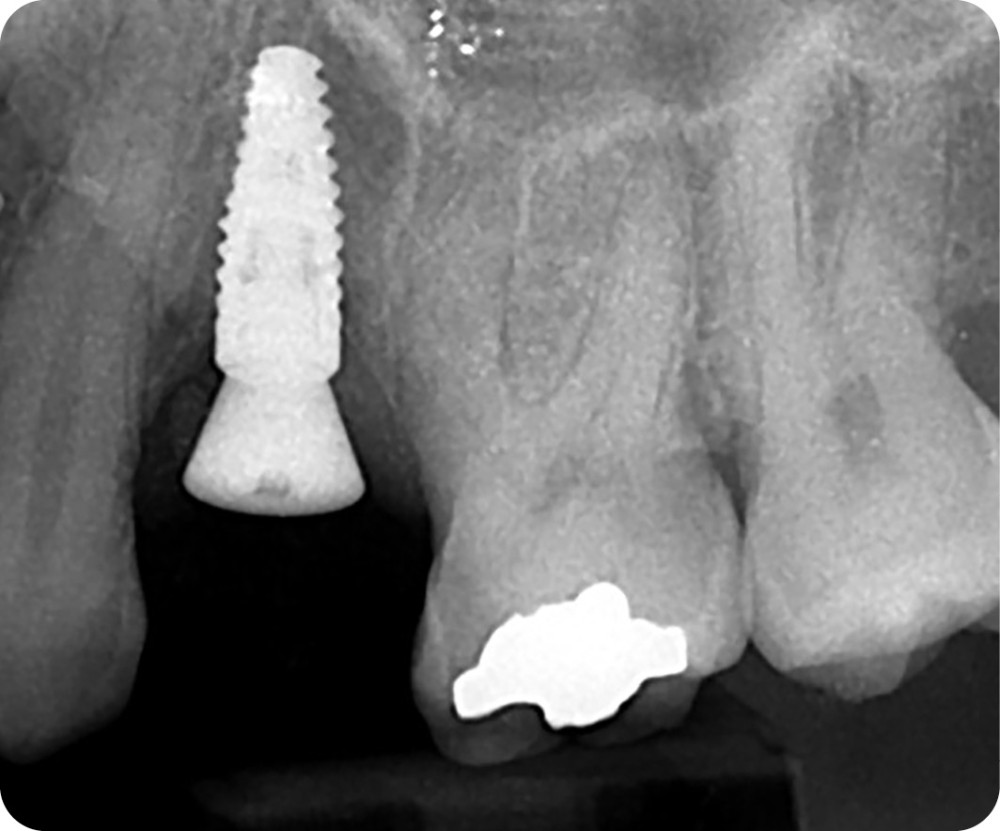
Les critères de succès de l’ostéointégration sont définis depuis des décennies (immobilité de l’implant, pas de radio transparence autour de l’implant ni de douleur, perte osseuse limitée et possibilité d’y assembler une prothèse) [1, 2] (fig. 1 et 2). à ces critères cliniques et radiologiques s’ajoutent des critères esthétiques, avec, dans le secteur antérieur, le Pink Esthetic Score (PES) par exemple [3]. Le PES est un outil pour quantifier et comparer les réhabilitations implantaires. Une de ses composantes majeures est la présence et la santé des tissus mous péri-implantaires, mais aussi la ligne d’émergence de la prothèse supra-implantaire. Cette ligne et la santé des tissus mous sont directement liées au profil d’émergence de la restauration, zone transmuqueuse de la prothèse qui est prépondérante à bien des égards : nous allons le détailler ci-après.
Le profil d’émergence
Définition et forme du profil d’émergence [4]
Sur une dent naturelle, le profil d’émergence est la zone de transition entre la racine et la couronne dentaire. En prothèse implantaire, le profil d’émergence se définit comme le contour des éléments prothétiques personnalisés et adaptés à l’architecture gingivale péri-implantaire (fig. 3). Le problème est que les racines dentaires, à la différence des implants qui les remplacent, ne sont pas de section ronde [5]. Les différentes vis de cicatrisation ne permettent pas d’obtenir un profil d’émergence proche de la réalité.
La conception de la partie transgingivale des prothèses répond maintenant à un consensus (profil concave dans la zone profonde dite subcritique, profil convexe au niveau du sulcus marginal, aussi appelé zone critique). Une augmentation du volume prothétique de la zone critique entraînera une récession des tissus péri-implantaires, une diminution de volume de la zone subcritique entraînera…


