Intérêts et faisabilité des réhabilitations par CFAO chez les patients pris en charge sous anesthésie générale : à propos de trois cas

  • Par
  • Publié le . Paru dans Stratégie Prothétique n°3 - 15 juin 2022 (page 221-231)
Information dentaire

– Comment assurer l’étanchéité des traitements endodontiques ?

– Quelles sont les limites de l’anesthésie générale pour les restaurations prothétiques ?

– Est-il possible de réaliser une réhabilitation fonctionnelle globale sous anesthésie générale ?

– Quels sont les avantages de la CFAO dans la prise en charge des patients sous anesthésie générale et dans celle des patients à besoins spécifiques ?

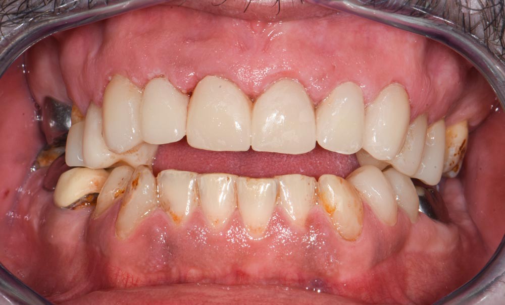
Le plateau technique particulier de l’anesthésie générale soumet le praticien à certains obstacles pour la réalisation des étapes prothétiques conventionnelles.

Les trois cas cliniques présentés décrivent la réalisation de soins conservateurs définitifs directement ou à l’issue de soins sous anesthésie générale. Ils tendent à démontrer que la technique par CFAO au bloc opératoire avec l’utilisation de l’empreinte optique est une alternative prometteuse à la prothèse classique : elle permet de s’affranchir de nombreuses contraintes tout en favorisant la pérennité des dents.

Introduction

Le recours à des conditions spécifiques d’accès aux soins est nécessaire lorsque la délivrance des soins est impossible dans des conditions ordinaires. Dans ce contexte, il convient de répondre aux besoins spécifiques des patients en respectant les données acquises de la science, tout en s’adaptant à leur contexte médical, physique, psychologique et/ou social. Ainsi, des mesures facilitant l’accès aux soins peuvent être mises en œuvre : techniques de gestion comportementale individualisées, prémédications orales, hypnose, sédation au protoxyde d’azote, sédation consciente avec injection de midazolam par voie intraveineuse, anesthésie générale. Ces conditions peuvent soumettre le praticien à certaines contraintes temporelles (la durée opératoire est limitée) ou ergonomiques (liées à l’intubation orotrachéale). Néanmoins, les objectifs thérapeutiques dans ces conditions doivent être les mêmes qu’en milieu ordinaire, assurant des soins de même qualité et avec le même résultat.

Les traitements endodontiques ont été évalués sous anesthésie générale [1-3], mais peu d’études ont porté sur les procédures de restauration de ces mêmes dents et, en particulier, prothétiquement. La restauration des dents traitées endodontiquement est un point capital. La réalisation de prothèse fixée sous anesthésie…

Cet article est réservé aux abonnés.
Pour lire la suite :

Vous êtes abonné.e ? Connectez-vous
Mot de passe
oublié ?

Vous pouvez également :

Acheter l'article En version numérique
Acheter le numéro À l'unité

Thèmes abordés