La réalisation de prothèses complètes destinées à des patients jeunes constitue un véritable défi à relever pour nombre de prothésistes. Ces prothèses se doivent non seulement d’être fonctionnelles, mais adaptées sur le plan esthétique en présentant un aspect jeune. Dans ces cas bien particuliers, nous utilisons deux gammes de dents artificielles.
Présentation du cas clinique
Une patiente de 55 ans se présente au cabinet dentaire, avec une parodontite sévère et généralisée (mobilité de stade III) (fig. 1 et 2).
La seule solution thérapeutique consiste à avulser les dents résiduelles. Les premiers soins sont suivis de la confection et de la pose de deux prothèses complètes immédiates au maxillaire et à la mandibule.
Pour ce faire, après extraction des dents postérieures non visibles, le praticien a effectué deux empreintes primaires. Sur les modèles en plâtre, le prothésiste élimine les dents restantes et comble les zones crestales de contre dépouille (fig. 3).
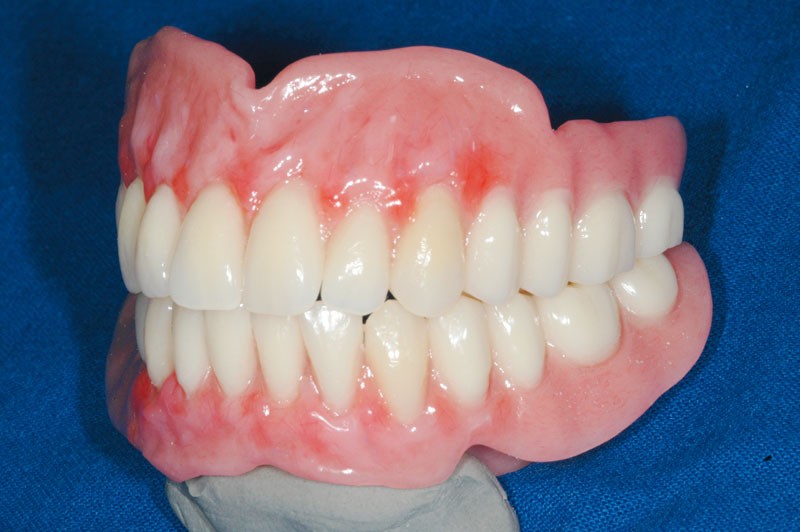
Il réalise ensuite des prothèses standards bimaxillaires en utilisant les dents Pala Premium (Heraeus Kulzer) dans les secteurs antérieurs et postérieurs (fig. 4).
Lors de la séance suivante, les dents antérieures sont extraites au maxillaire et à la mandibule, et les prothèses sont immédiatement posées en bouche.
Les procès alvéolaaires étant très résorbés, plusieurs réfections de base furent nécessaires au cours de la cicatrisation.
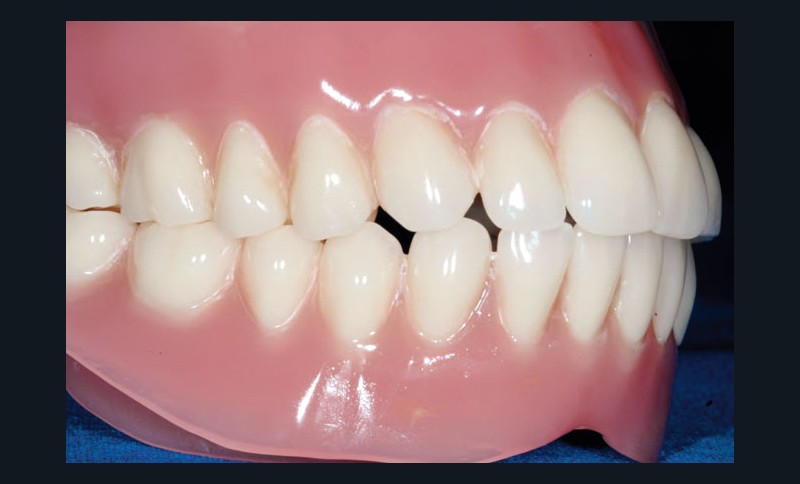
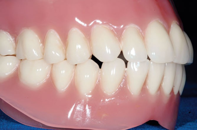
De plus, des modifications de position se sont produites (ligne médiane, ligne du sourire, plan occlusal, asymétrie du corridor buccal…) (fig. 5).
La patiente se plaignait également d’inconfort et de difficultés ressenties lors du broyage de certains aliments durs.
La…





