CAS 1
Motif de la consultation
Patient de 44 ans venu consulter pour une lésion jugale postérieure gauche.
Histoire de la maladie
• Cette lésion était apparue 3 mois auparavant. Elle se présentait comme une « bulle » indolore que le patient vidait régulièrement en la mordant ou en la piquant avec une aiguille, mais elle se reformait constamment.
Interrogatoire
• Le patient était en bonne santé et n’avait pas d’antécédents médico-chirurgicaux.
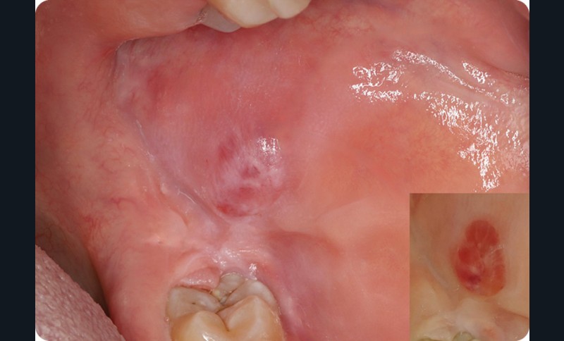
Examen clinique
• La lésion siégeait dans la région jugale postérieure gauche, à hauteur de la ligne occlusale. Elle se traduisait par une tumeur indolore, légèrement fluctuante, hémisphérique, de 7 mm de diamètre ; la muqueuse de surface était recouverte de kératine avec quelques petites plages érythémateuses. Sur une photo transmise par le patient (cartouche), « la bulle » était de taille identique mais son contenu hémorragique ; le saignement avait probablement été provoqué par une tentative d’élimination par morsure.
Examen paraclinique
• La pièce d’exérèse était composée d’un fragment de muqueuse jugale revêtue d’un épithélium parakératinisé, avec des crêtes épithéliales de configuration irrégulière. Le chorion était le siège d’un épanchement de salive mêlée à de la fibrine, des polynucléaires neutrophiles et des macrophages spumeux ; l’épanchement s’étendait de la région sous-épithéliale à la partie superficielle du plan musculaire. Sur une coupe, il existait une section d’un canal excréteur salivaire au voisinage de la cavité et, plus en profondeur, des glandes salivaires accessoires à prédominance muqueuse.
Synthèse
Cette « bulle » correspondait à un PSEUDO-KYSTE SALIVAIRE JUGAL. Sa formation est consécutive à un traumatisme qui provoque un raptus salivaire. Puis la salive se collecte progressivement, donnant naissance à une cavité dépourvue de bordure épithéliale…
