Une anesthésie de qualité constitue une obligation tant légale que morale, déontologique et éthique si l’on se réfère à la loi du 4 mars 2022 du Code de la santé publique relative au droit des malades (article 1110-5). Cette dernière stipule que « toute personne a le droit de recevoir des soins visant à soulager sa douleur. Celle-ci doit être en toute circonstance prévenue, évaluée, prise en compte et traitée ».
Qu’est-ce ce qu’une anesthésie dentaire ?
Le terme d’anesthésie est utilisé à tort, car il désigne l’absence de toute sensation tactile. Par opposition, le terme analgésie se définit quant à lui par l’absence de sensation nociceptive (douloureuse) [1]. Cette différence est significative dans l’approche de la douleur du patient. Afin de garantir le ressenti de l’effet de l’anesthésie locale ou locorégionale, il est essentiel d’expliquer au patient avant l’injection (et de lui rappeler lors de l’installation voire au cours de l’acte) que l’anesthésie supprime la douleur, mais ne fait qu’altérer les autres sensations : conservation partielle de la proprioception (pression), pouvant créer un trouble perceptif et une confusion entre proprioception et nociception. Les explications données en amont permettent au patient de distinguer une sensation désagréable, de la douleur en elle-même, voire de la peur d’avoir mal. Une fois ces éléments pris en considération et compris, une même anesthésie est ressentie de manière plus efficace.
L’anesthésie locale en odontologie peut s’effectuer de deux façons :
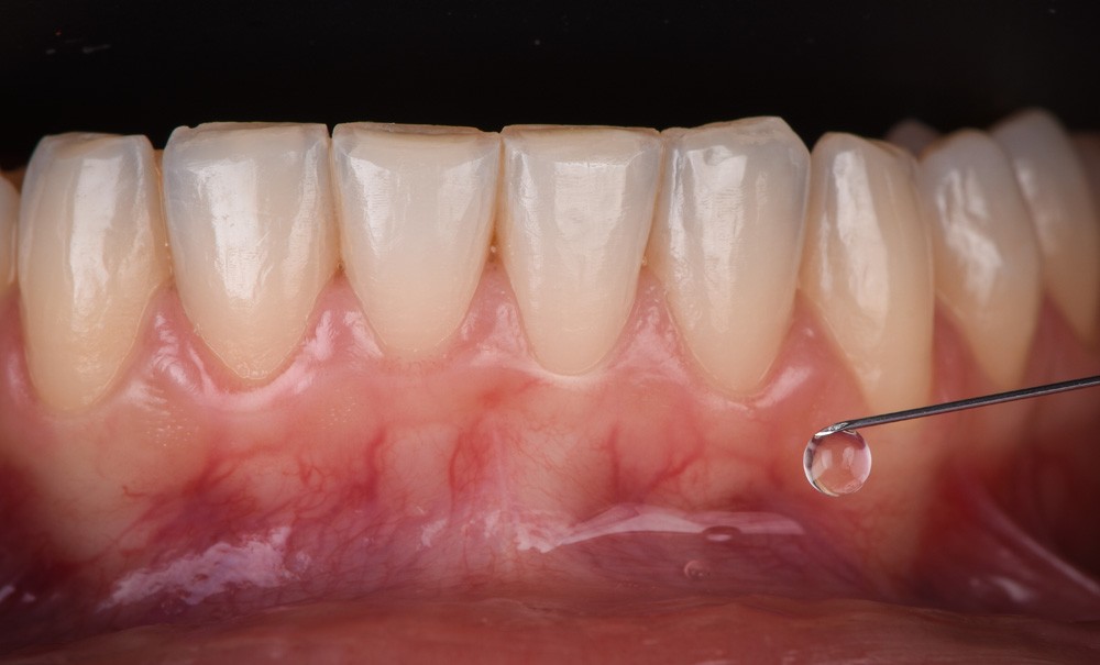
- Trans-muqueuse (anesthésie de surface ou de contact) (fig. 1).
- Sous-muqueuse (voie d’injection parentérale par infiltration).
Toutes les voies d’administration sont à prendre en compte pour éviter les concentrations plasmatiques élevées d’anesthésique, sources d’effets indésirables neurologiques et/ou cardiologiques
