L’augmentation de tissu kératinisé en 10 questions

  • Par
  • Publié le . Paru dans L'Information Dentaire (page 22-31)
Information dentaire
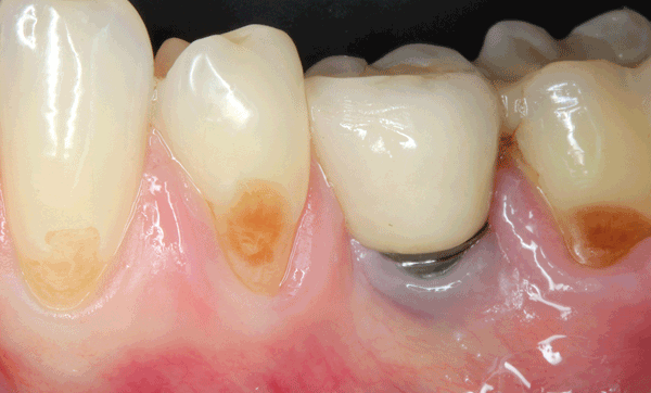
La nécessité de tissu kératinisé autour des dents a fait l’objet d’un long débat en parodontie, et alimente désormais une vive controverse en implantologie. L’importance de sa présence autour des implants reste discutée, et les indications des techniques d’augmentation également. Cette revue narrative a pour but de faire le point sur la littérature dévolue au tissu kératinisé, autour des dents et autour des implants, grâce à dix questions que tout praticien est amené à se poser fréquemment en clinique.

Orban a, pour la première fois, décrit deux parties de la gencive en 1948 : la gencive attachée, fermement adhérente à l’os sous-jacent, et la gencive libre qui la prolonge en direction coronaire, non attachée et délimitant le sillon gingivo-dentaire ou sulcus [1]. Ces deux gencives sont kératinisées et séparées de la muqueuse alvéolaire non kératinisée par la ligne muco-gingivale. La kératinisation est une qualité de l’épithélium qui rend le tissu plus résistant.

Différentes méthodes existent pour repérer cliniquement la ligne muco-gingivale. Le repérage visuel est la plus simple, mais il est parfois difficile. La méthode fonctionnelle consiste à mobiliser la muqueuse, et ainsi repérer la zone immobile correspondant à la ligne muco-gingivale. Cette mobilisation est rendue possible par la présence importante de fibres élastiques dans le chorion de la muqueuse alvéolaire. Enfin, la coloration de Lugol [2] permet de colorer en rouge les glycogènes présents dans la muqueuse alvéolaire et absents dans le tissu kératinisé. Ces méthodes ont été comparées dans un essai clinique, et les auteurs ont conclu à la fiabilité des trois différentes méthodes pour repérer la ligne muco-gingivale, que ce soit avant ou après chirurgie mucogingivale [3].
Par ailleurs, une précision sémantique s’impose, car il existe une confusion souvent observée dans la littérature scientifique : les termes « gencive kératinisée » et « muqueuse kératinisée » doivent être abandonnés au profit de « tissu kératinisé ». En effet, la muqueuse n’est pas kératinisée, le terme « muqueuse kératinisé » est donc une erreur, et la gencive est obligatoirement kératinisée, c’est pourquoi le terme « gencive kératinisée » est une redondance inutile. Ainsi, conformément aux recommandations des auteurs du récent consensus européen [4], nous utiliserons dans cette revue narrative le terme de tissu kératinisé…

Cet article est réservé aux abonnés.
Pour lire la suite :

Vous êtes abonné.e ? Connectez-vous
Mot de passe
oublié ?

Vous pouvez également :

Acheter l'article En version numérique

Thèmes abordés