L’autotransplantation et le flux numérique

  • Par
  • Publié le . Paru dans L'Orthodontiste n°2 - 15 avril 2023 (page 40-60)
Information dentaire

En orthodontie, nous sommes souvent confrontés à des traumatismes dentaires avec perte de dents permanentes et perturbation de la croissance alvéolaire. Le traumatisme dentaire affecte à lui seul un milliard de personnes vivantes, et les enfants sont les plus touchés… 1 à 3 % de ces traumatismes entraîneront une perte dentaire [1]. Et lorsque cela se produit, quelles sont les options que nous envisageons pour aider nos patients ?

La perte d’une dent est une expérience traumatisante, non seulement pour le patient, mais aussi pour le chirurgien-dentiste.

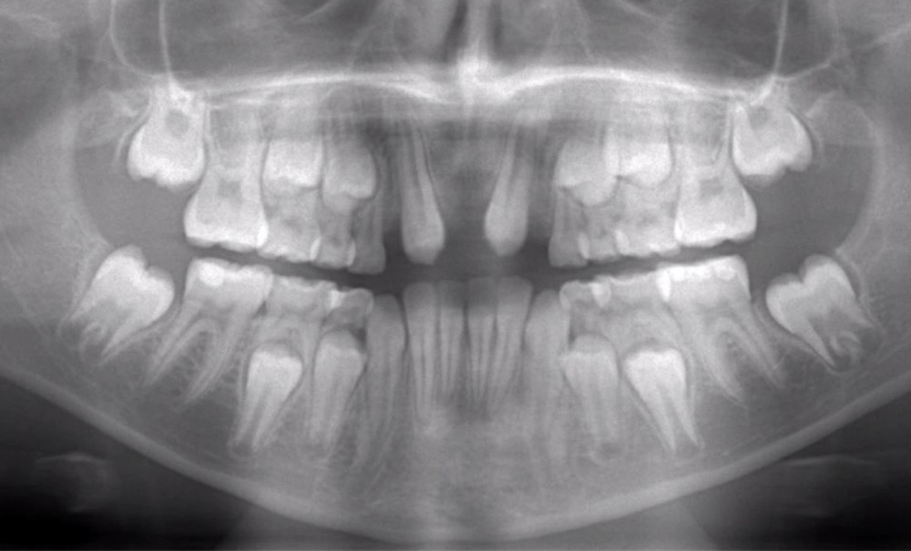
L’âge de survenue de ces traumatismes se situe entre 8 et 12 ans. À cet âge, les incisives permanentes ont généralement fait leur éruption et leur ligament parodontal possède une résistance moindre aux forces extérieures. La partie antérieure des maxillaires est la région la plus sujette aux traumatismes pendant l’enfance et, à la suite de ces derniers, une perte de dents peut se produire. Remplacer les dents manquantes a toujours été l’un des défis des chirurgiens-dentistes chez les enfants et les adolescents, car leur croissance dentofaciale n’est pas complète. Dans une telle situation, la conservation de l’espace de la dent manquante est nécessaire jusqu’à la fin de la période de croissance dento-faciale de l’individu [2].

Dans les situations où elle est réalisable, l’autotransplantation de prémolaires peut être une alternative thérapeutique. Cette technique consiste à transplanter une dent d’un site donneur à un site receveur chez le même individu [3].

L’autotransplantation peut être définie comme le transfert atraumatique d’une dent de son alvéole vers un autre site chez le même individu.

Le site récepteur peut être un site d’extraction ou une alvéole nouvellement préparée chirurgicalement. L’autotransplantation est :

1. une option de traitement pour remplacer les dents manquantes ;

2. une solution précieuse et esthétique à faible coût ;

3. une option choisie chez les enfants et les adolescents en pleine croissance.

Elle présente de nombreux avantages. Dans les cas où une perte osseuse est associée à la perte de la dent permanente, la dent transplantée peut induire une néoformation osseuse et le rétablissement du processus alvéolaire.

La dent transplantée évolue de façon synchrone avec les incisives voisines pendant la croissance continue du visage et l’éruption des dents et s’adaptera aux stimuli fonctionnels.

Un implant, en revanche, ne suivra pas les incisives voisines…

Cet article est réservé aux abonnés.
Pour lire la suite :

Vous êtes abonné.e ? Connectez-vous
Mot de passe
oublié ?

Vous pouvez également :

Acheter l'article En version numérique
Acheter le numéro À l'unité

Thèmes abordés