L’anatomie des secteurs postérieurs au maxillaire n’est pas toujours favorable à une solution implantaire en raison des cavités aériennes qui le bordent. L‘élévation de sinus est une technique chirurgicale qui permet, en repoussant la membrane du sinus maxillaire, d’apposer de l’os de substitution au niveau de la zone que l’on veut implanter.
Le sinus maxillaire est une cavité aérienne située immédiatement au-dessus du maxillaire supérieur. En fonction des individus, son volume relatif peut varier et des extensions peuvent être observées jusqu’au contact des racines des prémolaires et molaires, ce qui justifie la prudence de rigueur lors des traitements endodontiques sur ces dents afin de ne pas extruder du matériau d’obturation canalaire. Son volume tend à augmenter avec l’âge.
À la suite de l’extraction des dents, l’os de soutien se résorbe au détriment du volume osseux disponible pour une future implantation, surtout pour les patients qui ont perdu leurs dents par maladie parodontale et qui ont un capital osseux initial réduit.
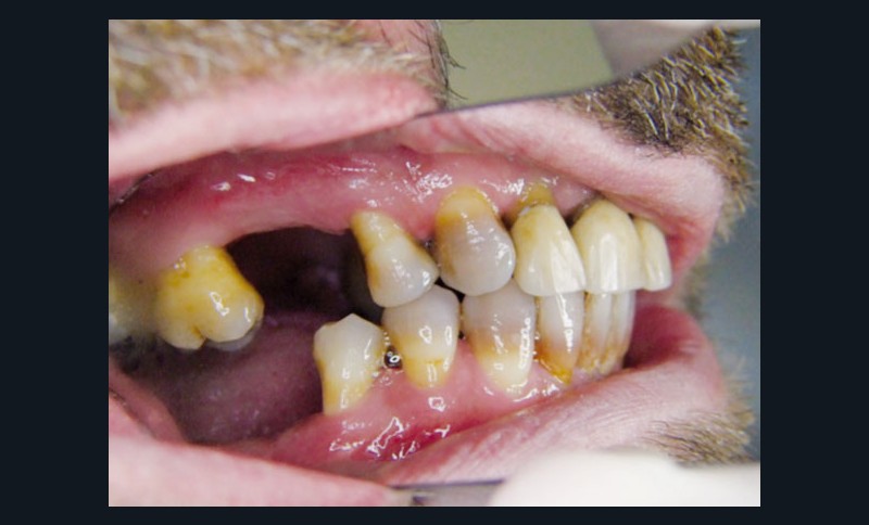
L’examen clinique du patient en consultation d’implantologie débutera donc par un examen visuel du site et se poursuivra par une palpation de la région (fig. 1).
La largeur de la crête sera alors estimée mais seule l’analyse d’un cliché radiographique en 3D de type Cone Beam (CBCT) sera à même de préciser le volume osseux disponible. En cas d’insuffisance, de volume osseux vertical une élévation de sinus pourra être proposée (fig. 2).
Protocole opératoire
L’intervention s’effectue en salle blanche après signature d’un consentement éclairé par le patient. L’assistante disposera la table opératoire suivant les instructions du praticien (fig. 3 et 4).
On retrouvera :
– un…



