Cas clinique de facettes stratifiées
Depuis le début des années 2000, le disilicate de lithium IPS e.max (Ivoclar-Vivadent) est devenu un matériau incontournable pour la réalisation de facettes céramiques. Il procure une excellente résistance ainsi qu’un rendu esthétique parfait. La mise en œuvre de ce matériau est moins complexe que celle de la céramique feldspathique. Les lingotins de céramique sont généralement pressés pour permettre l’obtention de facettes. L’évolution de l’IPS e.max est aujourd’hui l’IPS e.max Press Multi, dont le lingotin présente un dégradé de teinte de la zone cervicale vers la zone incisale. Initialement prévu pour des restaurations monolithiques, il nous a semblé intéressant d’essayer ce nouveau matériau pour obtenir de fines facettes, au moyen d’une technique de stratification.
Le cas clinique
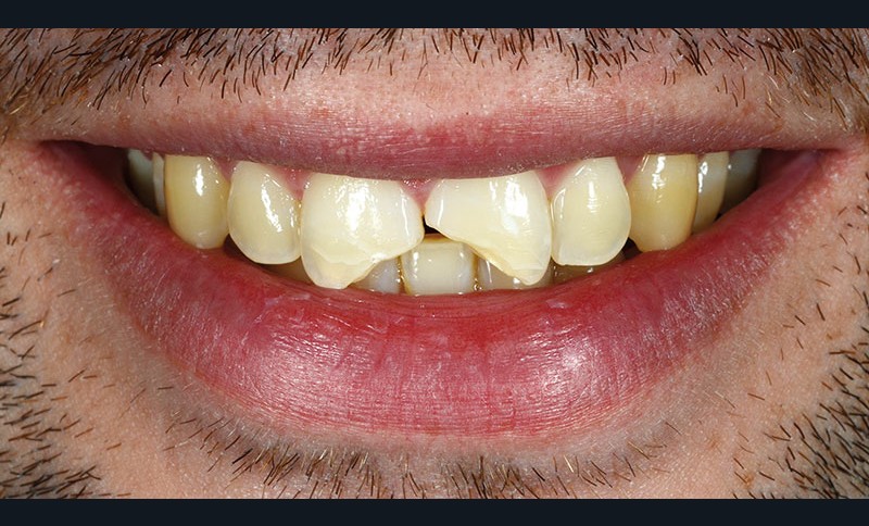
Notre patient de 26 ans se présente en urgence au cabinet suite à une chute de VTT. Les deux incisives centrales présentent chacune une fracture de l’angle mésial (fig. 1a, b, et c).
La pulpe dentaire n’est pas exposée et répond positivement aux tests de diagnostic. Les deux dents présentent d’importantes fêlures partant du point d’impact. Le patient souhaite restaurer ses dents au moyen d’une solution fiable, peu mutilante et naturellement esthétique, permettant de conserver leur vitalité.
Nous lui proposons de réaliser deux facettes céramiques pour réhabiliter son sourire. À l’étude du cas avec notre céramiste, ce dernier nous a paru parfaitement adapté pour essayer les nouveaux lingotins IPS e.max Press Multi par une technique de stratification.
Phases préparatoires
Nous effectuons une empreinte d’étude et nous l’adressons au laboratoire dans le but d’obtenir une cire de diagnostic (wax up) des deux incisives (fig. 2).
Une clé en silicone est obtenue à partir du wax up. Nous l’utilisons pour réaliser…



