Difficile de se borner à la partie sous-nasale qui nous concerne. Et pourtant, focalisés sur la recherche d’éléments diagnostiques essentiels à l’orthodontie comme la classe squelettique, le schéma facial ou encore la position de l’incisive mandibulaire, est-on sûr de ne pas passer à côté d’autre chose ?
Présentation du cas clinique
Un patient âgé de 26 ans consulte pour améliorer son sourire, qui montre des espaces qu’il souhaiterait fermer. La situation clinique est compliquée par la présence d’implants maxillaires déjà en place.
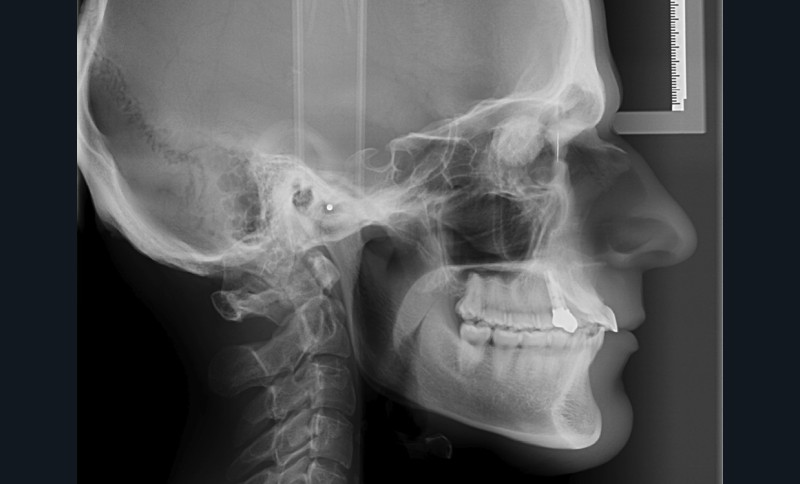
Après examen clinique, des photographies, des moulages, un panoramique et une téléradiographie de profil sont réalisés (fig. 1). Le traitement n’est pas simple mais le patient est motivé.
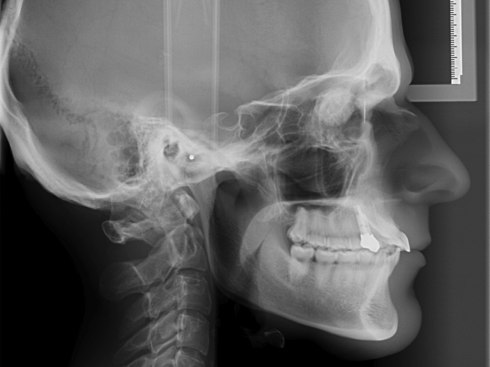
Après un an de traitement, une réévaluation est faite. De nouveaux clichés sont réalisés sur un nouvel appareil radiographique fraîchement installé (fig. 2). Les clichés obtenus sont de meilleure qualité et plus contrastés.
Des clichés insuffisamment lus
À l’examen de ces nouveaux clichés, une image radiologique de type « masse ronde » en regard des orbites se détache nettement. Immédiatement remontent mes souvenirs de cours de radio de l’examen du CECSMO. On nous apprenait à regarder la selle turcique et à reconnaître une tumeur. Une intime conviction s’impose : mon patient a une tumeur…
Je retourne immédiatement vers les premiers clichés avant traitement : l’image radiologique de la masse était déjà là !
Je suis passée à côté. Je m’en veux terriblement !
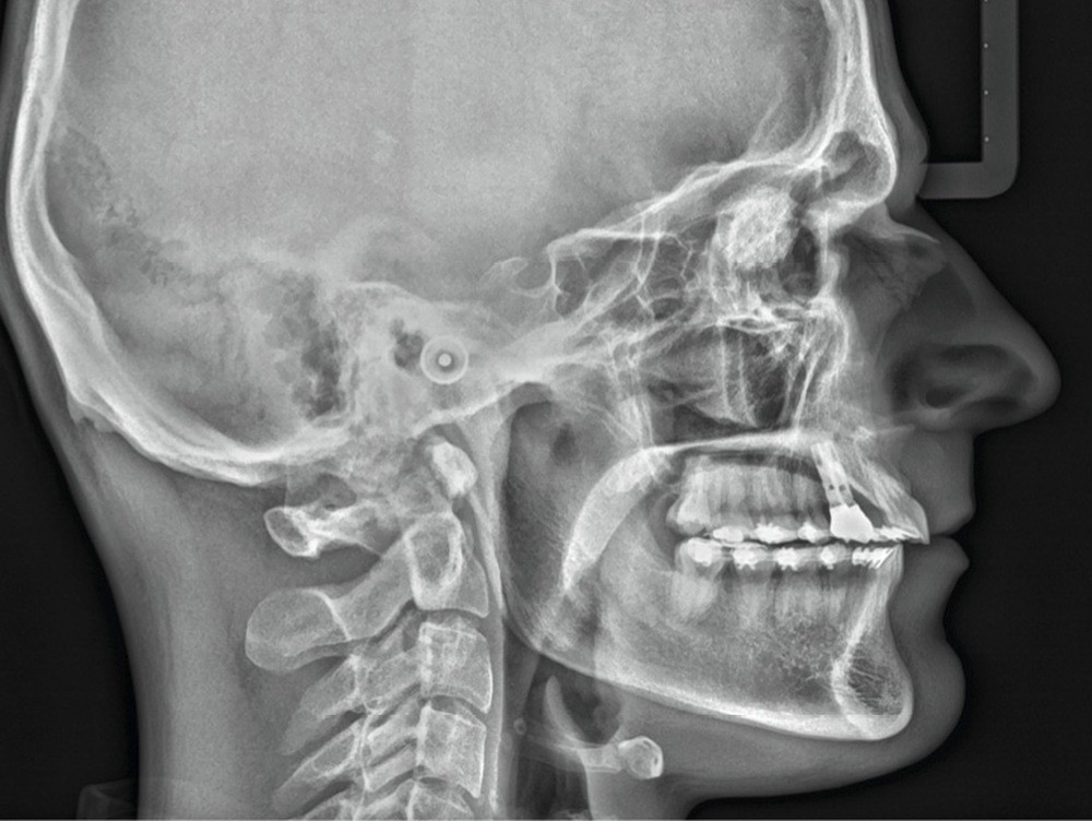
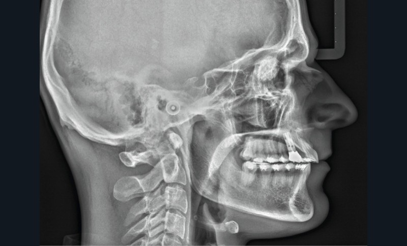
Le volume semble identique, ce qui me rassure néanmoins sur le caractère peu évolutif. Je consulte sa fiche médicale, mais aucun problème de santé n’est mentionné.
Brainstorming et entraide
Habituée à partager mes interrogations et mes expériences cliniques avec un petit groupe d’amis sur l’application whatsApp, je prends une photo de mon écran et l’envoie…

