Examen initial
Âgée de 15 ans, cette patiente est adressée par son chirurgien-dentiste pour un avis orthodontique car une décision collégiale doit être prise concernant la conservation des premières ou des troisièmes molaires permanentes. La demande de la patiente est d’ordre esthétique : elle souhaite un alignement dentaire parfait et le remplacement d’une couronne métallique.
La patiente présente une classe II squelettique par rétrognathie mandibulaire dans un contexte vertical hyperdivergent se traduisant par un profil général légèrement convexe. Le profil sous-nasal est convexe, lié à des lèvres charnues en biprochéilie, un angle naso-labial fermé et un approfondissement du sillon labio-mentionnier lors de l’occlusion labiale (fig. 1 et 2). La patiente est symétrique, le sourire bien positionné et harmonieux (fig. 3).
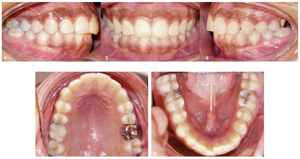
Le parodonte est épais mais une récession gingivale débutante est notable au niveau de 41 et s’accompagne d’une proéminence radiculaire au niveau mandibulaire, liée à la pro-alvéolie incisive. L’hygiène est correcte, ce qui ne fut pas le cas précédemment : la patiente présente des légères taches diffuses de déminéralisation, et surtout des soins carieux importants sur 16 26 et 46. Par ailleurs, les arcades sont larges et symétriques et l’occlusion de classe I est satisfaisante (fig. 4 à 8).
Si l’encombrement mandibulaire est cliniquement faible (malposition incisive avec un manque de place estimé à 2 mm), nous pouvons considérer la dysharmonie dento-maxillaire (DDM) mandibulaire comme importante si l’on prend en compte l’encombrement postérieur lié à l’évolution compromise des dents de sagesse, la courbe de Spee, et si l’on souhaite repositionner l’incisive mandibulaire en proalvéolie (fig. 9).
L’analyse des documents radiographiques montre également que l’atteinte…

