L’extraction implantation immédiate en présence d’un déficit osseux vestibulaire

  • Par
  • Publié le . Paru dans L'Information Dentaire n°13 - 3 avril 2019
Information dentaire
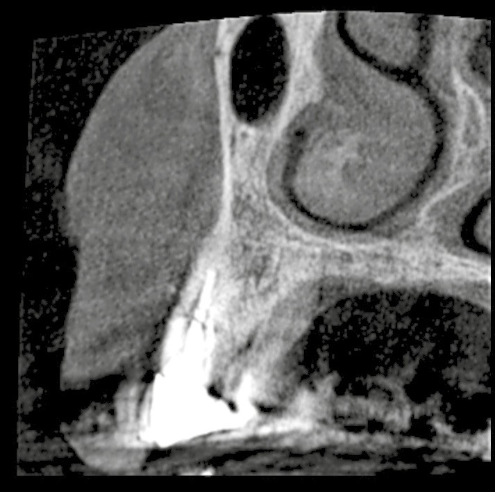
Nombreux sont les avantages de la technique d’extraction implantation immédiate. Elle permet de réduire le nombre d’interventions, le délai global du traitement, les suites opératoires et la prise répétée de traitements médicamenteux parfois difficilement tolérés par les patients. L’impact positif de l’implantation immédiate sur la qualité de vie des patients encourage le recourt à ce protocole. Néanmoins, la perte osseuse alvéolaire qui accompagne souvent une infection parodontale, endodontique ou encore une fêlure, voire une fracture, pourrait perturber la stabilité des tissus durs et des tissus mous dans le temps.

La question

Il s’agit d’évaluer la prédictibilité des différents protocoles d’extraction implantation immédiate en présence d’un déficit osseux alvéolaire ainsi que le risque de récession dans le temps. Nous allons, à travers l’analyse de la littérature et la présentation d’un cas clinique, présenter les différents protocoles de gestion du déficit osseux de l’alvéole d’extraction et évaluer leur prédictibilité.

La méthode

Afin de permettre des études comparatives et de définir des indications, des classifications de l’alvéole d’extraction comme celle de Chu et al., en 2015 [1], ou celle d’Elian et al. en 2007 [2], sont proposées.

Dans la classification d’Elian et al., trois types d’alvéole d’extraction sont identifiés :
– l’alvéole de type I est caractérisée par un niveau gingival normal et une paroi osseuse vestibulaire intacte par rapport à la jonction amélo-cémentaire de la dent extraite ;
– l’alvéole de type II est caractérisée par l’absence d’altération du profil gingival mais par un déficit partiel de la table vestibulaire ;
– l’alvéole de type III présente une altération du profil gingival associée à un déficit osseux.

Différentes techniques de gestion de l’alvéole d’extraction présentant une perte totale ou partielle de la paroi osseuse vestibulaire sont alors décrites dans la littérature :
– la préservation alvéolaire associée à une mise en place différée de l’implant ;
– l’extraction simple puis l’implantation précoce à 6-8 semaines avec régénération osseuse ;
– l’extraction et implantation immédiate associée à une régénération osseuse guidée avec ou sans élévation d’un lambeau ;
– l’extraction et implantation immédiate associée à la technique de reconstruction dento-alvéolaire immédiate.

Plusieurs paramètres seront à prendre en compte dans le choix de l’une ou l’autre de ces techniques, le premier…

Cet article est réservé aux abonnés.
Pour lire la suite :

Vous êtes abonné.e ? Connectez-vous
Mot de passe
oublié ?

Vous pouvez également :

Acheter l'article En version numérique
Acheter le numéro À l'unité

Thèmes abordés