Le complexe dento-parodontal
L’attache supra crestale
La gencive est attachée à la dent pour assurer une barrière étanche et imperméable aux agressions bactériennes. Ce système d’attache, nommé attache supra crestale, est un réseau de collagène qui s’étend de la base apicale du sulcus au sommet de la crête osseuse (fig. 1). Cette attache mesure en moyenne 2 mm, même si les études montrent une grande variabilité inter et intra-individuelle [1, 2]. Entre le sommet du sulcus et le niveau osseux, il existe donc une hauteur minimum de 3 mm à préserver, et cela a une importance capitale pour les traitements restaurateurs et prothétiques.
Violation de l’attache supra crestale
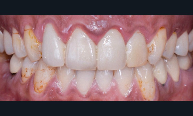
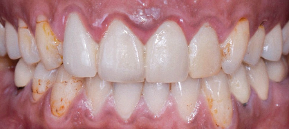
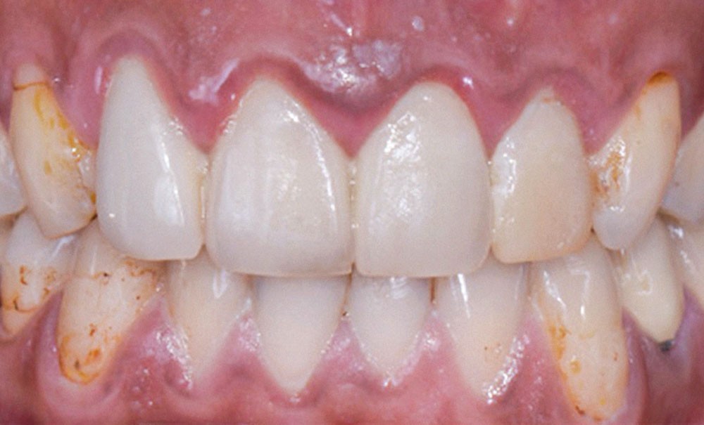
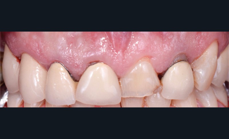
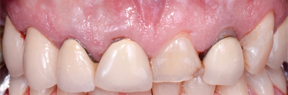
Pour différentes raisons, comme la présence d’une carie sous-gingivale, la réfection d’une couronne ou une amélioration de l’esthétique, il est fréquent que la limite prothétique soit localisée de façon iatrogène en sous-gingival. Mais les conséquences parodontales de telles situations ne sont pas moindres [3], par exemple une augmentation de l’inflammation parodontale (fig. 2a), des récessions si le parodonte est fin (fig. 2b), ou une hypertrophie gingivale s’il est plus épais. Des résorptions osseuses peuvent également survenir. Ainsi, en plaçant les limites en sous-gingival, nous prenons le risque qu’elles deviennent supra gingivales en quelques années [4].
Pour éviter ces répercussions irréversibles et anar-chiques, il faut anticiper la position de la gencive et de l’os sous-jacent grâce aux techniques de chirurgie parodontale.
Relocaliser l’attache pour la préserver : Le choix de la technique
Deux éléments sont à prendre en compte : le niveau gingival et le niveau osseux.
Concernant la position gingivale, s’il est nécessaire de la relocaliser pour des raisons esthétiques par exemple, deux techniques s’offrent à nous : la gingivectomie, si la quantité…


