Etude comparative de l’impact de leur structure et entretien
Le fauteuil dentaire, support de l’activité du chirurgien-dentiste, constitue la pièce maîtresse du cabinet dentaire.
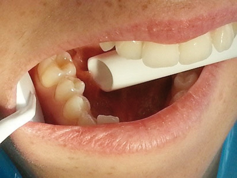
Le système d’aspiration est l’un des maillons essentiels de ce poste de travail pour le confort qu’il apporte au praticien, ainsi que pour son rôle dans l’hygiène des soins et la sécurité des pratiques (fig. 1).
Toutefois, et malgré de grandes avancées technologiques durant les trente dernières années, il reste l’un des points faibles majeurs de l’unit, dans le champ de l’hygiène. Traversés par plusieurs fluides biologiques (salive, sang, pus…), les systèmes d’aspiration offrent en effet des conditions idéales au développement de micro-organismes (bactéries, virus…) [1,2], favorisé par l’humidité et la chaleur, et un rapport surface/volume propice au développement de biofilms [3]. Une utilisation intermittente du fauteuil et un entretien négligent sont des facteurs additionnels en faveur du potentiel développement d’un biofilm [4].
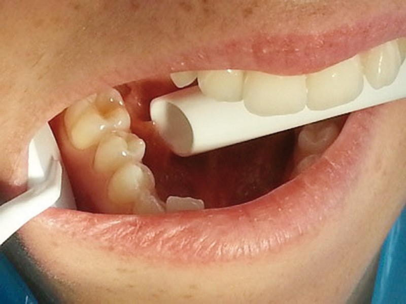
De plus, de nombreuses études relatent que dans certaines conditions, il existe un phénomène de reflux du contenu du tuyau dans la cavité buccale. En effet, lorsque le patient ferme la bouche sur la canule d’aspiration, il crée une dépression dans sa cavité orale, supérieure à la dépression engendrée par la pompe à salive, à l’origine alors du phénomène de reflux (fig. 2).
Ces mêmes études suggèrent qu’un mauvais entretien des systèmes d’aspiration associé à un reflux de leur contenu dans la cavité buccale présenterait un risque de contamination croisée [5-10].
À l’observation, lors du démontage des embouts d’aspiration pour leur entretien, un dépôt noirâtre a été observé à l’intérieur des tuyaux en place (fig. 3).
Plusieurs questionnements ont alors été formulés :
– le protocole…


