Peut-on extraire les premières molaires permanentes ?
Rappels sur la MIH
Définition
Lors du 6e congrès de l’Académie Européenne d’Odontologie Pédiatrique (2003), il a été convenu que la désignation « hypominéralisation molaire et incisive » serait désormais utilisée pour décrire l’hypominéralisation des premières molaires et incisives permanentes ne correspondant pas à une autre pathologie. L’acronyme MIH fréquemment employé est issu des termes anglo-saxons : « Molar-Incisisor Hypomineralisation ».
La MIH est un défaut qualitatif de la minéralisation de l’émail, d’origine systémique, d’au moins une première molaire permanente (PMP), associé ou non, selon la gravité de l’atteinte, à une hypominéralisation des incisives permanentes [1]. En conséquence, dans le cas où toutes les PMP sont épargnées, le terme MIH ne pourra être utilisé.
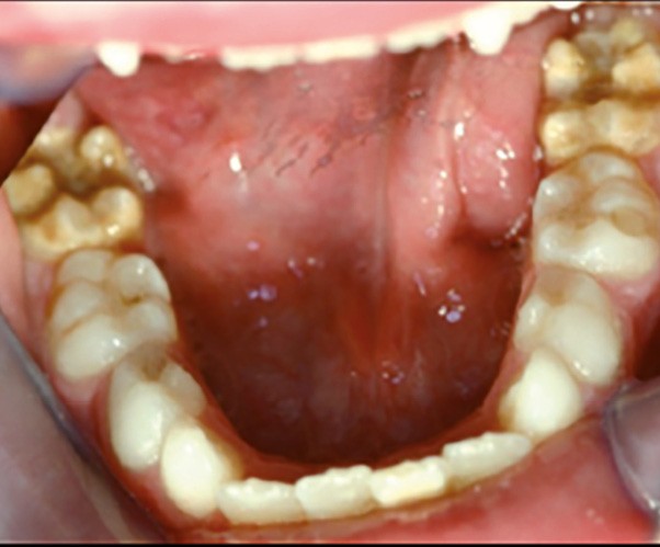
Cliniquement, les dents présentent des colorations blanches ou brunes opaques sur une partie ou sur toute la surface de la dent. Cette atteinte peut être légère (émail blanc, opaque), modérée (coloration jaune, brune, surface crayeuse et effondrement postéruptif de l’email) ou sévère (atteintes associées à des pertes de substances importantes) (fig. 1)
.
Prévalence
Elle se situe entre 3,6 et 25 % : les données sont éparses, elles diffèrent selon les pays, les régions et les cohortes de naissances considérées. Cela suggère que des facteurs environnementaux contribueraient à l’étiologie des MIH. Cette prévalence semble augmenter ces dernières années, et de nombreux pays considèrent cette pathologie comme un véritable problème de santé publique [2].
Étiologies
Le fait que les premières molaires et les incisives permanentes soient principalement atteintes par ces hypominéralisations traduit qu’il s’agit d’un trouble survenant au cours des toutes premières années de la vie de l’enfant (0 à 4 ans) ; période de la minéralisation…


